You have no items in your shopping cart.
HRAS/H-Ras Antibody
Description
Images & Validation
−| Tested Applications | IHC, IHC-P, WB |
|---|---|
| Dilution range | IHC (1:50 - 1:200), IHC-P (1:200), WB (1:500 - 1:2000) |
| Reactivity | Human, Mouse, Rat |
| Application Notes |
Key Properties
−| Host | Rabbit |
|---|---|
| Clonality | Polyclonal |
| Isotype | IgG |
| Immunogen | A synthetic peptide of human HRAS. |
| Target | HRAS / H-Ras |
| Purification | Affinity purified |
| Conjugation | Unconjugated |
Storage & Handling
−| Storage | Maintain refrigerated at 2-8°C for up to 2 weeks. For long term storage store at -20°C in small aliquots to prevent freeze-thaw cycles. |
|---|---|
| Buffer/Preservatives | PBS, pH 7.3, 0.02% Sodium Azide, 50% Glycerol. PBS, pH 7.3, 0.02% Sodium Azide, 50% Glycerol |
| Concentration | 1.61 mg/ml |
| Disclaimer | For research use only |
Alternative Names
−Similar Products
−KAT3B/p300/EP300 Antibody [orb1098087]
FC, ICC, IF, IHC, WB
Human, Mouse
Rabbit
Polyclonal
Unconjugated
100 μgNRAS/HRAS/KRAS Antibody [orb214056]
IF, IHC, WB
Human, Mouse, Rat
Rabbit
Polyclonal
Unconjugated
30 μl, 100 μl, 200 μl, 50 μl

Quality Guarantee
Explore bioreagents carefree to elevate your research. All our products are rigorously tested for performance. If a product does not perform as described on its datasheet, our scientific support team will provide expert troubleshooting, a prompt replacement, or a refund. For full details, please see our Terms & Conditions and Buying Guide. Contact us at [email protected].

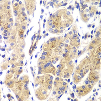
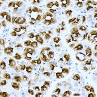
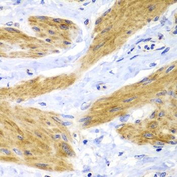
Immunohistochemistry of paraffin-embedded human gastric tissue.

Western blot analysis of extracts of various cells.
Quick Database Links
Documents Download
Request a Document
Protocol Information
HRAS/H-Ras Antibody (orb1536704)
Participating in our Biorbyt product reviews program enables you to support fellow scientists by sharing your firsthand experience with our products.
Login to Submit a Review

















