You have no items in your shopping cart.
HSD17B10 Antibody
Description
Research Area
Images & Validation
−| Tested Applications | ELISA, FC, IHC, IP, WB |
|---|---|
| Dilution range | WB: 1:500-1:2000; IP: 1:200-1:1000; IHC: 1:20-1:200 |
| Reactivity | Human, Mouse, Rat |
Key Properties
−| Antibody Type | Primary Antibody |
|---|---|
| Host | Rabbit |
| Clonality | Polyclonal |
| Isotype | IgG |
| Immunogen | hydroxysteroid(17-beta) dehydrogenase 10 |
| Target | HSD17B10 |
| Molecular Weight | 27 kDa |
| Purity | ≥95% as determined by SDS-PAGE |
| Purification | Immunogen affinity purified |
| Conjugation | Unconjugated |
Storage & Handling
−| Storage | Maintain refrigerated at 2-8°C for up to 2 weeks. For long term storage store at -20°C in small aliquots to prevent freeze-thaw cycles. |
|---|---|
| Form/Appearance | liquid |
| Disclaimer | For research use only |
Alternative Names
−Similar Products
−HSD17B10 Antibody (Center) [orb1925596]
FC, IF, IHC-P, WB
Bovine
Human, Mouse, Rat
Rabbit
Polyclonal
Unconjugated
100 μl, 50 μlMouse 17-Beta-Hydroxysteroid Dehydrogenase Type 10 (HSD17b10) ELISA Kit [orb780816]
Mouse
0.16-10 ng/mL
0.061 ng/mL
48 T, 96 THSD17B10 Antibody (N-Term) [orb1925525]
FC, IF, WB
Human, Rat
Rabbit
Polyclonal
Unconjugated
100 μl, 50 μl

Quality Guarantee
Explore bioreagents carefree to elevate your research. All our products are rigorously tested for performance. If a product does not perform as described on its datasheet, our scientific support team will provide expert troubleshooting, a prompt replacement, or a refund. For full details, please see our Terms & Conditions and Buying Guide. Contact us at [email protected].

IP Result of anti-ERAB (IP: orb626780, 4 ug; Detection: orb626780 1:500) with HeLa cells lysate 1200 ug.

HeLa cells were subjected to SDS PAGE followed by western blot with orb626780 (HSD17B10 antibody) at dilution of 1:1000.

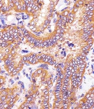
Immunohistochemistry of paraffin-embedded human breast cancer using orb626780 (HSD17B10 antibody) at dilution of 1:100.
Quick Database Links
UniProt Details
−Documents Download
Request a Document
Protocol Information
HSD17B10 Antibody (orb626780)
Participating in our Biorbyt product reviews program enables you to support fellow scientists by sharing your firsthand experience with our products.
Login to Submit a Review





















