You have no items in your shopping cart.
HSPB8 Antibody
Description
Research Area
Images & Validation
−| Tested Applications | IF, IHC, WB |
|---|---|
| Reactivity | Human, Mouse, Rat |
| Application Notes |
Key Properties
−| Antibody Type | Primary Antibody |
|---|---|
| Host | Rabbit |
| Clonality | Polyclonal |
| Isotype | IgG |
| Immunogen | Recombinant fusion protein containing a sequence corresponding to amino acids 1-196 of human HSPB8 (NP_055180.1). |
| Target | HSPB8 |
| Molecular Weight | Observed: 22kDa |
| Purification | Affinity purification |
| Conjugation | Unconjugated |
Storage & Handling
−| Storage | Maintain refrigerated at 2-8°C for up to 2 weeks. For long term storage store at -20°C in small aliquots to prevent freeze-thaw cycles. |
|---|---|
| Form/Appearance | Liquid |
| Buffer/Preservatives | PBS with 0.02% sodium azide, 50% glycerol, pH 7.3. |
| Concentration | batch dependent |
| Disclaimer | For research use only |
Alternative Names
−Similar Products
−CTBP2 Antibody (monoclonal, 7F3E1) [orb1474874]
FC, IF, IHC, WB
Human, Mouse, Rat
Mouse
Monoclonal
Unconjugated
100 μgHSPB8/Hsp22 Antibody [orb18992]
FC, ICC, IF, IHC, IP, WB
Human, Mouse, Rat
Rabbit
Polyclonal
Unconjugated
100 μgGrp75 Antibody (monoclonal, 4I9) [orb865658]
FC, ICC, IF, IHC, WB
Human, Mouse, Rat
Mouse
Monoclonal
Unconjugated
100 μgCTBP2 Antibody (monoclonal, 10E9D2) [orb865593]
FC, ICC, IF, IHC, WB
Human
Mouse
Monoclonal
Unconjugated
100 μgFilamin B/FLNB Antibody (monoclonal, 11E2D2) [orb865673]
ICC, IF, IHC, WB
Human
Mouse
Monoclonal
Unconjugated
100 μg

Quality Guarantee
Explore bioreagents carefree to elevate your research. All our products are rigorously tested for performance. If a product does not perform as described on its datasheet, our scientific support team will provide expert troubleshooting, a prompt replacement, or a refund. For full details, please see our Terms & Conditions and Buying Guide. Contact us at [email protected].

Western blot analysis of extracts of various cell lines, using HSPB8 antibody (orb1258139) at 1:1000 dilution. Secondary antibody: HRP Goat Anti-Rabbit IgG (H+L) at 1:10000 dilution. Lysates/proteins: 25 ug per lane. Blocking buffer: 3% nonfat dry milk in TBST. Detection: ECL Enhanced Kit. Exposure time: 10s.

Immunohistochemistry of paraffin-embedded rat lung using HSPB8 antibody (orb1258139) at dilution of 1:200 (40x lens).

Immunohistochemistry of paraffin-embedded rat pancreas using HSPB8 antibody (orb1258139) at dilution of 1:200 (40x lens).

Immunohistochemistry of paraffin-embedded human thyroid cancer using HSPB8 antibody (orb1258139) at dilution of 1:200 (40x lens).

Immunohistochemistry of paraffin-embedded human colon using HSPB8 antibody (orb1258139) at dilution of 1:200 (40x lens).

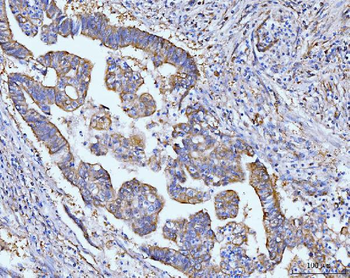
Immunohistochemistry of paraffin-embedded human colon cancer using HSPB8 antibody (orb1258139) at dilution of 1:200 (40x lens).

Immunohistochemistry of paraffin-embedded human lung cancer using HSPB8 antibody (orb1258139) at dilution of 1:200 (40x lens).

Immunohistochemistry of paraffin-embedded human gastric cancer using HSPB8 antibody (orb1258139) at dilution of 1:200 (40x lens).

Immunofluorescence analysis of HeLa cells using HSPB8 antibody (orb1258139). Blue: DAPI for nuclear staining.
Quick Database Links
UniProt Details
−Documents Download
Request a Document
Protocol Information
HSPB8 Antibody (orb1258139)
Participating in our Biorbyt product reviews program enables you to support fellow scientists by sharing your firsthand experience with our products.
Login to Submit a Review


































