You have no items in your shopping cart.
IKBKE/IKKi/IKKe Rabbit Polyclonal Antibody
Description
Research Area
Images & Validation
−| Tested Applications | IF, IHC-Fr, IHC-P |
|---|---|
| Dilution Range | IHC-P=1:100-500, IHC-F=1:100-500, IF=1:100-500 |
| Reactivity | Human |
| Predicted Reactivity | Bovine, Mouse, Rat |
Related Conjugates & Formulations
−Key Properties
−| Antibody Type | Primary Antibody |
|---|---|
| Host | Rabbit |
| Clonality | Polyclonal |
| Isotype | IgG |
| Immunogen | KLH conjugated synthetic peptide derived from human IKBKE (501-600/716aa) |
| Target | IKBKE |
| Molecular Weight | 79 kDa |
| Purification | Affinity purified by Protein A |
| Conjugation | Unconjugated |
Storage & Handling
−| Storage | Maintain refrigerated at 2-8°C for up to 2 weeks. For long term storage store at -20°C in small aliquots to prevent freeze-thaw cycles. |
|---|---|
| Form/Appearance | Liquid |
| Buffer/Preservatives | 0.01M TBS (pH7.4) with 1% rAlbumin, 0.02% Proclin300 and 50% Glycerol. |
| Concentration | 1mg/ml |
| Expiration Date | 12 months from date of receipt. |
| Disclaimer | For research use only |
Alternative Names
−Similar Products
−IKKi/IKKe/IKBKE Rabbit Polyclonal Antibody [orb669230]
ELISA, WB
Human
Rabbit
Polyclonal
Unconjugated
100 μgIKBKE/IKKi/IKKe Rabbit Polyclonal Antibody (Biotin) [orb447066]
IF, IHC-Fr, IHC-P
Bovine, Mouse, Rat
Human
Rabbit
Polyclonal
Biotin
100 μlIKBKE/IKKi/IKKe Rabbit Polyclonal Antibody (HRP) [orb480344]
IHC-Fr, IHC-P
Bovine, Mouse, Rat
Human
Rabbit
Polyclonal
HRP
100 μlIKBKE/IKKi/IKKe Rabbit Polyclonal Antibody (FITC) [orb8379]
IF
Bovine, Mouse, Rat
Human
Rabbit
Polyclonal
FITC
100 μlIKBKE/IKKi/IKKe Rabbit Polyclonal Antibody (PerCP-Cy5.5) [orb2424282]
IF
Bovine, Mouse, Rat
Human
Rabbit
Polyclonal
PerCP/Cy5.5
100 μl

Quality Guarantee
Explore bioreagents carefree to elevate your research. All our products are rigorously tested for performance. If a product does not perform as described on its datasheet, our scientific support team will provide expert troubleshooting, a prompt replacement, or a refund. For full details, please see our Terms & Conditions and Buying Guide. Contact us at [email protected].

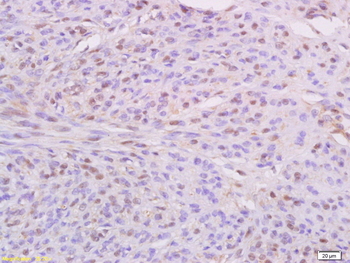
Tissue/Cell: human cervical carcinoma, 4% Paraformaldehyde-fixed and paraffin-embedded, Antigen retrieval: citrate buffer (0.01M, pH 6.0), Boiling bathing for 15 min, Block endogenous peroxidase by 3% Hydrogen peroxide for 30 min, Blocking buffer (normal goat serum) at 37°C for 20 min, Incubation: Anti-IKBKE/IKKi Polyclonal Antibody, Unconjugated (orb5531) 1:200, overnight at 4°C, followed by conjugation to the secondary antibody and DAB staining.
Quick Database Links
UniProt Details
−Documents Download
Request a Document
Protocol Information
IKBKE/IKKi/IKKe Rabbit Polyclonal Antibody (orb5531)
Participating in our Biorbyt product reviews program enables you to support fellow scientists by sharing your firsthand experience with our products.
Login to Submit a Review
