You have no items in your shopping cart.
IKKγ rabbit pAb Antibody
Description
Images & Validation
−| Tested Applications | ELISA, IF, IHC, WB |
|---|---|
| Dilution range | Western Blot: 1/500 - 1/2000. Immunohistochemistry: 1/100 - 1/300. Immunofluorescence: 1/200 - 1/1000. ELISA: 1/20000. Not yet tested in other applications. |
| Reactivity | Human, Mouse, Rat |
Key Properties
−| Clonality | Polyclonal |
|---|---|
| Isotype | IgG |
| Immunogen | The antiserum was produced against synthesized peptide derived from human IKK-gamma. AA range:51-100 |
| Molecular Weight | 43 |
| Purification | The antibody was affinity-purified from rabbit antiserum by affinity-chromatography using epitope-specific immunogen. |
| Conjugation | Unconjugated |
Storage & Handling
−| Storage | Maintain refrigerated at 2-8°C for up to 2 weeks. For long term storage store at -20°C in small aliquots to prevent freeze-thaw cycles. |
|---|---|
| Buffer/Preservatives | PBS with 0.02% sodium azide and 50% glycerol pH 7.4. |
| Concentration | 1 mg/ml |
| Disclaimer | For research use only |
Alternative Names
−Similar Products
−IKKγ (phospho Ser31) rabbit pAb Antibody [orb770677]
ELISA, IF, IHC, WB
Human, Mouse, Rat
Polyclonal
Unconjugated
50 μl, 100 μlIKKγ (phospho Ser85) rabbit pAb Antibody [orb770676]
ELISA, IF, IHC, WB
Human, Mouse, Rat
Polyclonal
Unconjugated
50 μl, 100 μlIKKγ (phospho Ser376) rabbit pAb Antibody [orb770678]
ELISA, IF, IHC
Human, Mouse, Rat
Polyclonal
Unconjugated
50 μl, 100 μl

Quality Guarantee
Explore bioreagents carefree to elevate your research. All our products are rigorously tested for performance. If a product does not perform as described on its datasheet, our scientific support team will provide expert troubleshooting, a prompt replacement, or a refund. For full details, please see our Terms & Conditions and Buying Guide. Contact us at [email protected].

Western Blot analysis of various cells using IKKγ Polyclonal Antibody diluted at 1:1000.

Western Blot analysis of RAW264.7 cells using IKKγ Polyclonal Antibody diluted at 1:1000.

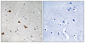
Immunohistochemical analysis of paraffin-embedded Human breast cancer. Antibody was diluted at 1:100 (4°C overnight). High-pressure and temperature Tris-EDTA, pH8.0 was used for antigen retrieval. Negetive control (right) obtaned from antibody was pre-absorbed by immunogen peptide.

Immunofluorescence analysis of HeLa cells, using IKK-gamma Antibody. The picture on the right is blocked with the synthesized peptide.
Documents Download
Request a Document
Protocol Information
IKKγ rabbit pAb Antibody (orb765480)
Participating in our Biorbyt product reviews program enables you to support fellow scientists by sharing your firsthand experience with our products.
Login to Submit a Review




