You have no items in your shopping cart.
Integrin alpha 5 antibody
Description
Images & Validation
−| Tested Applications | ELISA, ICC, IF, IHC-P, WB |
|---|---|
| Dilution range | WB: 2 μg/ml, IHC-P:1:500, IF/ICC: 1:500 |
| Reactivity | Human, Mouse, Porcine, Rat |
Key Properties
−| Host | Rabbit |
|---|---|
| Clonality | Polyclonal |
| Isotype | IgG |
| Immunogen | KLH conjugated synthetic peptide derived from human Integrin alpha 5. Please contact us for the exact immunogen sequence. The peptide is available as orb374730. |
| Target | Integrin alpha 5 |
| Molecular Weight | 121 kDa |
| Purity | Polyclonal antibodies are purified by peptide affinity chromatography |
| Conjugation | Unconjugated |
Storage & Handling
−| Storage | Maintain refrigerated at 2-8°C for up to 2 weeks. For long term storage store at -20°C in small aliquots to prevent freeze-thaw cycles. |
|---|---|
| Form/Appearance | 10 mM PBS, 0.02% sodium azide |
| Concentration | - 100 μg (in 200 μl): 0.5 mg/ml- 200 μg (in 400 μl): 0.5 mg/ml |
| Disclaimer | For research use only |
Alternative Names
−Similar Products
−Integrin alpha 2 Recombinant Rabbit Monoclonal Antibody [orb704523]
IF, IHC-Fr, IHC-P, WB
Mouse, Rat
Human, Mouse, Rat
Rabbit
Recombinant
Unconjugated
50 μl, 100 μl, 25 μlIntegrin Alpha V + Beta 6 Rabbit Polyclonal Antibody [orb100289]
FC, ICC, IF, IHC-Fr, IHC-P, WB
Bovine, Canine, Equine, Gallus, Mouse, Porcine, Rat
Human
Rabbit
Polyclonal
Unconjugated
50 μl, 100 μl, 200 μlIntegrin Alpha V + Beta 1 Rabbit Polyclonal Antibody [orb13515]
FC, WB
Bovine, Canine, Equine, Mouse, Porcine, Rat, Sheep
Human
Rabbit
Polyclonal
Unconjugated
200 μl, 50 μl, 100 μlIntegrin alpha 5 antibody (FITC) [orb222105]
ICC, IF
Human, Mouse, Porcine, Rat
Rabbit
Polyclonal
FITC
100 μg

Quality Guarantee
Explore bioreagents carefree to elevate your research. All our products are rigorously tested for performance. If a product does not perform as described on its datasheet, our scientific support team will provide expert troubleshooting, a prompt replacement, or a refund. For full details, please see our Terms & Conditions and Buying Guide. Contact us at [email protected].

Western blot analysis of Mouse bladder (lane 1), Rat ovary (lane 2), Rat brain (lane 3), Rat kidney (lane 4) using Integrin alpha 5 antibody (Dilution at 2 ug/ml)

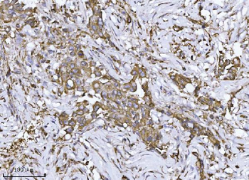
IHC-P of human breast carcinoma using (Integrin alpha 5 antibody at 1:500)

IF image of pig large intestines tissue using Integrin alpha 5 antibody (primary antibody at 1:500)

WB analysis of Mouse brain (lane 1), Rat ovary (lane 2) using Rat kidney (lane 3) using Integrin alpha 5 (dilution of primary antibody - 2 ug/ml)

IHC-P staining of pig uterus tissue using Integrin alpha 5 antibody (dilution at 1:500)

Western blot analysis of rat brain lysates (Lane1 30ug) and rat liver lysates (Lane2 30ug) using Integrin alpha 5 beta 3 antibody

Immunohistochemical staining of pig uterus tissue using Integrin alpha 5 antibody (dilution of primary antibody - 1:500)

IF analysis of pig large intestines tissue using Integrin alpha 5 antibody (dilution of primary antibody at 1:500)

IF analysis of pig uterus tissue using Integrin alpha 5 antibody (dilution of primary antibody at 1:500)

IHC-P image of pig large intestines tissue using Integrin alpha 5 antibody (dilution of primary antibody at 1:500)

IF image of pig uterus tissue using anti-Integrin alpha 5 (primary antibody at 1:500)

Immunofluorescence analysis of pig large intestines tissue using anti-Integrin alpha 5 (primary antibody at 1:500)

Immunohistochemical staining of paraffin embedded pig large intestines tissue using Integrin alpha 5 antibody (primary antibody at 1:500)

Immunofluorescence analysis of pig uterus tissue using anti-Integrin alpha 5 (dilution of primary antibody - 1:500)

Immunohistochemical staining of paraffin embedded pig uterus tissue using Integrin alpha 5 antibody (primary antibody at 1:500)

Immunohistochemical staining of paraffin embedded pig large intestines tissue using anti-Integrin alpha 5 (primary antibody at 1:500)
Quick Database Links
Documents Download
Request a Document
Protocol Information
Integrin alpha 5 antibody (orb10945)
Participating in our Biorbyt product reviews program enables you to support fellow scientists by sharing your firsthand experience with our products.
Login to Submit a Review

























