You have no items in your shopping cart.
ITGA2B Antibody
Description
Images & Validation
−| Tested Applications | FC, IHC |
|---|---|
| Dilution range | IHC: 1/200 - 1/1000; FCM: 1/200 - 1/400; ELISA: 1/10000 |
| Reactivity | Human |
Key Properties
−| Antibody Type | Primary Antibody |
|---|---|
| Host | Mouse |
| Clonality | Monoclonal |
| Isotype | Mouse IgG1 |
| Clone No. | 2E10C9 |
| Immunogen | Purified recombinant fragment of human ITGA2B (AA: 45-149) expressed in E. Coli. |
| Target | ITGA2B |
| Molecular Weight | 113.4kDa |
| Conjugation | Unconjugated |
Storage & Handling
−| Storage | Maintain refrigerated at 2-8°C for up to 2 weeks. For long term storage store at -20°C in small aliquots to prevent freeze-thaw cycles. |
|---|---|
| Buffer/Preservatives | Purified antibody in PBS with 0.05% sodium azide |
| Concentration | Approximately 1mg/ml (varies from batch to batch). Please inquire for precise concentration. |
| Disclaimer | For research use only |
Alternative Names
−Similar Products
−CD41/Integrin alpha 2b/ITGA2B Antibody [orb315155]
IHC, WB
Human, Mouse, Rat
Rabbit
Polyclonal
Unconjugated
100 μgCD41/Integrin Alpha 2B/ITGA2B Antibody [orb1676335]
ELISA, FC, IHC, WB
Human, Rat
Rabbit
Polyclonal
Unconjugated
100 μg

Quality Guarantee
Explore bioreagents carefree to elevate your research. All our products are rigorously tested for performance. If a product does not perform as described on its datasheet, our scientific support team will provide expert troubleshooting, a prompt replacement, or a refund. For full details, please see our Terms & Conditions and Buying Guide. Contact us at [email protected].

Line graph illustrates about the Ag-Ab reactions using different concentrations of antigen and serial dilutions of ITGA2B antibody

Flow cytometric analysis of HL60 cells lysates using ITGA2B antibody

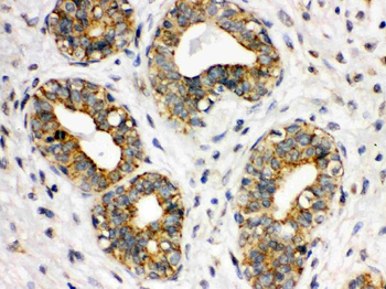
Immunohistochemical analysis of formalin-fixed and paraffin-embedded cervical cancer tissues using ITGA2B antibody

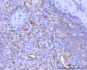
Immunohistochemical analysis of formalin-fixed and paraffin-embedded rectum cancer tissues using ITGA2B antibody

Western blot analysis of human ITGA2B using ITGA2B antibody

Western blot analysis of HEK293 (Lane 1) HEK293 (Lane 2) cell lysate using ITGA2B antibody
Documents Download
Request a Document
Protocol Information
ITGA2B Antibody (orb153450)
Participating in our Biorbyt product reviews program enables you to support fellow scientists by sharing your firsthand experience with our products.
Login to Submit a Review


































