You have no items in your shopping cart.
JUN Rabbit Polyclonal Antibody
Description
Research Area
Images & Validation
−| Tested Applications | WB |
|---|---|
| Reactivity | Human, Mouse |
| Predicted Reactivity | Bovine, Canine, Guinea pig, Porcine, Rabbit, Rat, Zebrafish |
Key Properties
−| Host | Rabbit |
|---|---|
| Clonality | Polyclonal |
| Immunogen | The immunogen is a synthetic peptide directed towards the N terminal region of human JUN |
| Target | JUN |
| Protein Sequence | Synthetic peptide located within the following region: MTAKMETTFYDDALNASFLPSESGPYGYSNPKILKQSMTLNLADPVGSLK |
| Molecular Weight | 36kDa |
| Purification | Protein A purified |
| Conjugation | Unconjugated |
Storage & Handling
−| Storage | Maintain refrigerated at 2-8°C for up to 2 weeks. For long term storage store at -20°C in small aliquots to prevent freeze-thaw cycles. |
|---|---|
| Buffer/Preservatives | Liquid. Purified antibody supplied in 1x PBS buffer with 0.09% (w/v) sodium azide and 2% sucrose. |
| Concentration | 1.0 mg/ml |
| Expiration Date | 12 months from date of receipt. |
| Disclaimer | For research use only |
Alternative Names
−Similar Products
−Phospho-JNK1 + 2 + 3 (Thr183+Tyr185) Rabbit Polyclonal Antibody [orb10951]
FC, IF, IHC-Fr, IHC-P, WB
Bovine, Canine, Porcine
Human, Mouse, Rat
Rabbit
Polyclonal
Unconjugated
50 μl, 100 μl, 200 μlJNK1+JNK2+JNK3 Rabbit Polyclonal Antibody [orb6259]
FC, ICC, IF, IHC-Fr, IHC-P, WB
Bovine, Canine, Gallus, Porcine
Human, Mouse, Rat
Rabbit
Polyclonal
Unconjugated
50 μl, 100 μl, 200 μlJNK1 + JNK3 Rabbit Polyclonal Antibody [orb10949]
FC, ICC, IF, IHC-Fr, IHC-P, WB
Bovine, Canine, Gallus, Porcine, Rabbit
Human, Mouse, Rat
Rabbit
Polyclonal
Unconjugated
50 μl, 100 μl, 200 μlPhospho-c-Jun (Ser63) Rabbit Polyclonal Antibody [orb4917]
FC, IF, IHC-Fr, IHC-P
Bovine, Canine, Porcine, Rabbit, Sheep
Human, Mouse, Rat
Rabbit
Polyclonal
Unconjugated
50 μl, 100 μl, 200 μlJUNB Rabbit Polyclonal Antibody [orb763179]
FC, ICC, IF, IHC, WB
Human, Mouse, Rat
Rabbit
Polyclonal
Unconjugated
100 μg

Quality Guarantee
Explore bioreagents carefree to elevate your research. All our products are rigorously tested for performance. If a product does not perform as described on its datasheet, our scientific support team will provide expert troubleshooting, a prompt replacement, or a refund. For full details, please see our Terms & Conditions and Buying Guide. Contact us at [email protected].

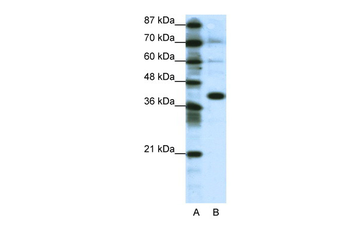
Sample Tissue: Mouse Testis, Antibody Dilution: 1 ug/ml.

WB Suggested Anti-JUN Antibody Titration: 1.25 ug/ml, ELISA Titer: 1:312500, Positive Control: 293T cell lysate. JUN is strongly supported by BioGPS gene expression data to be expressed in Human HEK293T cells.
Documents Download
Request a Document
JUN Rabbit Polyclonal Antibody (orb576537)
Participating in our Biorbyt product reviews program enables you to support fellow scientists by sharing your firsthand experience with our products.
Login to Submit a Review








































































