You have no items in your shopping cart.
KCNJ4 Antibody
Description
Research Area
Images & Validation
−| Tested Applications | ELISA, IHC, WB |
|---|---|
| Dilution Range | WB:1:1000-5000, IHC-P:1:20-200 |
| Reactivity | Human |
Key Properties
−| Host | Rabbit |
|---|---|
| Clonality | Polyclonal |
| Isotype | IgG |
| Immunogen | Recombinant Human Inward rectifier potassium channel 4 protein (316-445AA) |
| Target | KCNJ4 |
| Purification | Antigen Affinity Purified |
| Conjugation | Unconjugated |
Storage & Handling
−| Storage | Maintain refrigerated at 2-8°C for up to 2 weeks. For long term storage store at -20°C in small aliquots to prevent freeze-thaw cycles. |
|---|---|
| Form/Appearance | Liquid |
| Buffer/Preservatives | PBS with 0.02% sodium azide, 50% glycerol, pH7.3. |
| Expiration Date | 12 months from date of receipt. |
| Disclaimer | For research use only |
Alternative Names
−Similar Products
−KIR2.3 rabbit pAb Antibody [orb768881]
ELISA, IHC, WB
Human, Mouse, Rat
Polyclonal
Unconjugated
50 μl, 100 μl

Quality Guarantee
Explore bioreagents carefree to elevate your research. All our products are rigorously tested for performance. If a product does not perform as described on its datasheet, our scientific support team will provide expert troubleshooting, a prompt replacement, or a refund. For full details, please see our Terms & Conditions and Buying Guide. Contact us at [email protected].

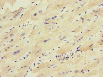
Immunohistochemistry of paraffin-embedded human heart tissue using KCNJ4 antibody

Western blot aanalysis of Hela whole cell lysate (Lane1), 293T whole cell lysate (Lane2), HepG2 whole cell lysate (Lane3), Jurkat whole cell lysate (Lane4), MCF-7 whole cell lysate (Lane5)using KCNJ4 antibody

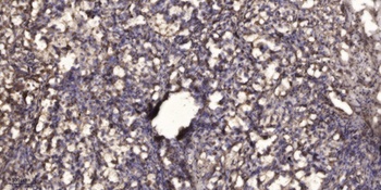
Immunohistochemistry of paraffin-embedded human skeletal muscle tissue using KCNJ4 antibody
Quick Database Links
UniProt Details
−Documents Download
Request a Document
Protocol Information
KCNJ4 Antibody (orb41502)
Participating in our Biorbyt product reviews program enables you to support fellow scientists by sharing your firsthand experience with our products.
Login to Submit a Review





