You have no items in your shopping cart.
KCNN4 Rabbit Polyclonal Antibody
Description
Research Area
Images & Validation
−| Tested Applications | WB |
|---|---|
| Reactivity | Human |
| Predicted Reactivity | Bovine, Equine, Porcine, Rat |
Key Properties
−| Host | Rabbit |
|---|---|
| Clonality | Polyclonal |
| Immunogen | The immunogen is a synthetic peptide directed towards the C terminal region of human KCNN4 |
| Target | KCNN4 |
| Protein Sequence | Synthetic peptide located within the following region: DLQQNLSSSHRALEKQIDTLAGKLDALTELLSTALGPRQLPEPSQQSK |
| Molecular Weight | 48 kDa |
| Purification | Affinity Purified |
| Conjugation | Unconjugated |
Storage & Handling
−| Storage | Maintain refrigerated at 2-8°C for up to 2 weeks. For long term storage store at -20°C in small aliquots to prevent freeze-thaw cycles. |
|---|---|
| Buffer/Preservatives | Liquid. Purified antibody supplied in 1x PBS buffer with 0.09% (w/v) sodium azide and 2% sucrose. |
| Concentration | 0.5 mg/ml |
| Expiration Date | 12 months from date of receipt. |
| Disclaimer | For research use only |
Alternative Names
−Similar Products
−KCNN4(SK4) Rabbit pAb Antibody [orb763816]
IHC, WB
Human, Mouse, Rat
Polyclonal
Unconjugated
50 μl, 100 μlKCNN4 Rabbit Polyclonal Antibody [orb101130]
ELISA, WB
Mouse, Rat
Human
Rabbit
Polyclonal
Unconjugated
50 μl, 100 μlKCNN4 (SK4) Polyclonal Antibody [orb1415631]
IHC-P, WB
Human, Mouse, Rat
Rabbit
Polyclonal
Unconjugated
100 μl

Quality Guarantee
Explore bioreagents carefree to elevate your research. All our products are rigorously tested for performance. If a product does not perform as described on its datasheet, our scientific support team will provide expert troubleshooting, a prompt replacement, or a refund. For full details, please see our Terms & Conditions and Buying Guide. Contact us at [email protected].

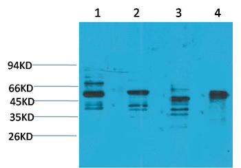
25 ug of the indicated Human whole cell extracts was loaded onto a 12% SDS-PAGE gel. 1 ug/ml of the antibody was used in this experiment. This peptide sequence is present in several isoforms, including a 32 kDa form. Protein may be phosphorylated.

Sample Tissue: Human HepG2 Whole Cell, Antibody dilution: 3 ug/ml.

Sample Tissue: Human Ovary Tumor, Antibody dilution: 1.0 ug/ml.

Sample Type: Hela, Antibody dilution: 1.0 ug/ml.

Sample Type: HepG2, Antibody dilution: 1.0 ug/ml.

Sample Type: Jurkat, Antibody dilution: 1.0 ug/ml.

Sample Type: MCF7, Antibody dilution: 1.0 ug/ml.

WB Suggested Anti-KCNN4 Antibody Titration: 0.2-1 ug/ml, ELISA Titer: 1:62500, Positive Control: HepG2 cell lysate.
Documents Download
Request a Document
KCNN4 Rabbit Polyclonal Antibody (orb575371)
Participating in our Biorbyt product reviews program enables you to support fellow scientists by sharing your firsthand experience with our products.
Login to Submit a Review





