You have no items in your shopping cart.
KIF14 Antibody
Description
Research Area
Images & Validation
−| Tested Applications | IF, IHC, WB |
|---|---|
| Reactivity | Human, Mouse, Rat |
| Application Notes |
Key Properties
−| Antibody Type | Primary Antibody |
|---|---|
| Host | Rabbit |
| Clonality | Polyclonal |
| Isotype | IgG |
| Immunogen | Recombinant fusion protein containing a sequence corresponding to amino acids 1399-1648 of human KIF14 (NP_055690.1). |
| Target | KIF14 |
| Molecular Weight | Observed: 190kDa |
| Purification | Affinity purification |
| Conjugation | Unconjugated |
Storage & Handling
−| Storage | Maintain refrigerated at 2-8°C for up to 2 weeks. For long term storage store at -20°C in small aliquots to prevent freeze-thaw cycles. |
|---|---|
| Form/Appearance | Liquid |
| Buffer/Preservatives | PBS with 0.02% sodium azide, 50% glycerol, pH 7.3. |
| Concentration | batch dependent |
| Expiration Date | 12 months from date of receipt. |
| Disclaimer | For research use only |
Alternative Names
−Similar Products
−Human Kinesin Family, Member 14 (KIF14) ELISA Kit [orb777853]
Human
0.32-20 ng/mL
0.12 ng/mL
48 T, 96 TKIF14 Antibody [orb411712]
IF, IHC, WB
Human
Rabbit
Polyclonal
Unconjugated
30 μl, 50 μl, 100 μl, 200 μl

Quality Guarantee
Explore bioreagents carefree to elevate your research. All our products are rigorously tested for performance. If a product does not perform as described on its datasheet, our scientific support team will provide expert troubleshooting, a prompt replacement, or a refund. For full details, please see our Terms & Conditions and Buying Guide. Contact us at [email protected].

Western blot analysis of extracts of various cell lines, using KIF14 antibody at 1:1000 dilution.

Immunohistochemistry of paraffin-embedded rat ovary using KIF14 antibody at dilution of 1:100 (40x lens).

Immunohistochemistry of paraffin-embedded rat heart using KIF14 antibody at dilution of 1:100 (40x lens).

Immunohistochemistry of paraffin-embedded human colon carcinoma using KIF14 antibody at dilution of 1:100 (40x lens).

Immunohistochemistry of paraffin-embedded human appendix using KIF14 antibody at dilution of 1:100 (40x lens).

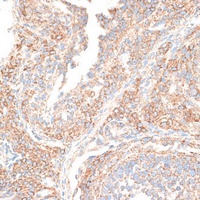
Immunohistochemistry of paraffin-embedded human breast cancer using KIF14 antibody at dilution of 1:100 (40x lens).

Immunohistochemistry of paraffin-embedded human stomach using KIF14 antibody at dilution of 1:100 (40x lens).

Immunofluorescence analysis of L929 cells using KIF14 Polyclonal Antibody at dilution of 1:100 (40x lens). Blue: DAPI for nuclear staining.

Immunofluorescence analysis of L929 cells using KIF14 Polyclonal Antibody at dilution of 1:100 (40x lens). Blue: DAPI for nuclear staining.
Quick Database Links
UniProt Details
−Documents Download
Request a Document
Protocol Information
KIF14 Antibody (orb1261564)
Participating in our Biorbyt product reviews program enables you to support fellow scientists by sharing your firsthand experience with our products.
Login to Submit a Review









