You have no items in your shopping cart.
KRT18 Rabbit Polyclonal Antibody
Description
Research Area
Images & Validation
−| Tested Applications | IHC, WB |
|---|---|
| Reactivity | Human |
| Predicted Reactivity | Bovine, Canine, Equine, Guinea pig, Mouse, Rabbit, Rat |
Key Properties
−| Host | Rabbit |
|---|---|
| Clonality | Polyclonal |
| Immunogen | The immunogen is a synthetic peptide directed towards the N terminal region of human KRT18 |
| Target | KRT18 |
| Protein Sequence | Synthetic peptide located within the following region: TRSTFSTNYRSLGSVQAPSYGARPVSSAASVYAGAGGSGSRISVSRSTSF |
| Molecular Weight | 47kDa |
| Purification | Protein A purified |
| Conjugation | Unconjugated |
Storage & Handling
−| Storage | Maintain refrigerated at 2-8°C for up to 2 weeks. For long term storage store at -20°C in small aliquots to prevent freeze-thaw cycles. |
|---|---|
| Buffer/Preservatives | Liquid. Purified antibody supplied in 1x PBS buffer with 0.09% (w/v) sodium azide and 2% sucrose. |
| Concentration | 1.0 mg/ml |
| Expiration Date | 12 months from date of receipt. |
| Disclaimer | For research use only |
Alternative Names
−Similar Products
−Cytokeratin 18/KRT18 Rabbit Polyclonal Antibody [orb389489]
FC, IF, IHC, WB
Human, Mouse, Rat
Rabbit
Polyclonal
Unconjugated
100 μgCK18 Rabbit Polyclonal Antibody [orb5871]
FC, ICC, IF, IHC-Fr, IHC-P, WB
Canine, Gallus, Mouse, Rabbit
Human, Rat
Rabbit
Polyclonal
Unconjugated
50 μl, 100 μl, 200 μlCK18 Rabbit Polyclonal Antibody [orb500815]
FC, ICC, IF, IHC-Fr, IHC-P, WB
Canine, Gallus, Mouse, Rabbit
Human, Rat
Rabbit
Polyclonal
Unconjugated
50 μl, 100 μl, 200 μlPhospho-CK18 (Ser60) Rabbit Polyclonal Antibody [orb4929]
ICC, IF, IHC-Fr, IHC-P, WB
Mouse, Rat
Human, Mouse, Rat
Rabbit
Polyclonal
Unconjugated
100 μl, 50 μl, 200 μlPhospho-CK18 (Ser52) Rabbit Polyclonal Antibody [orb156372]
IF, IHC-Fr, IHC-P, WB
Rat
Mouse, Rat
Rabbit
Polyclonal
Unconjugated
200 μl, 50 μl, 100 μl

Quality Guarantee
Explore bioreagents carefree to elevate your research. All our products are rigorously tested for performance. If a product does not perform as described on its datasheet, our scientific support team will provide expert troubleshooting, a prompt replacement, or a refund. For full details, please see our Terms & Conditions and Buying Guide. Contact us at [email protected].

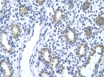
Rabbit Anti-KRT18 Antibody, Paraffin Embedded Tissue: Human alveolar cell, Cellular Data: Epithelial cells of renal tubule, Antibody Concentration: 4.0-8.0 ug/ml, Magnification: 400X.

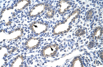
Rabbit Anti-KRT18 Antibody, Paraffin Embedded Tissue: Human Lung, Cellular Data: Alveolar cells, Antibody Concentration: 4.0-8.0 ug/ml, Magnification: 400X.

WB Suggested Anti-KRT18 antibody Titration: 1 ug/ml, Sample Type: Human Hela.

WB Suggested Anti-KRT18 antibody Titration: 1 ug/ml, Sample Type: Human HepG2.

WB Suggested Anti-KRT18 Antibody Titration: 1.25 ug/ml, ELISA Titer: 1:1562500, Positive Control: HepG2 cell lysate. KRT18 is supported by BioGPS gene expression data to be expressed in HepG2.
Documents Download
Request a Document
Protocol Information
KRT18 Rabbit Polyclonal Antibody (orb577486)
Participating in our Biorbyt product reviews program enables you to support fellow scientists by sharing your firsthand experience with our products.
Login to Submit a Review
















































