You have no items in your shopping cart.
LDLR Antibody
Description
Research Area
Images & Validation
−| Tested Applications | ELISA, WB |
|---|---|
| Dilution range | WB: 1:500-1:2000 |
| Reactivity | Human |
Key Properties
−| Antibody Type | Primary Antibody |
|---|---|
| Host | Rabbit |
| Clonality | Polyclonal |
| Isotype | IgG |
| Immunogen | low density lipoprotein receptor |
| Target | LDLR |
| Molecular Weight | 100-160 kDa |
| Purity | ≥95% as determined by SDS-PAGE |
| Purification | Immunogen affinity purified |
| Conjugation | Unconjugated |
Storage & Handling
−| Storage | Maintain refrigerated at 2-8°C for up to 2 weeks. For long term storage store at -20°C in small aliquots to prevent freeze-thaw cycles. |
|---|---|
| Form/Appearance | liquid |
| Disclaimer | For research use only |
Alternative Names
−Similar Products
−LDLR Rabbit Polyclonal Antibody [orb10972]
FC, ICC, WB
Bovine, Canine, Equine, Guinea pig, Porcine, Rabbit, Rat
Human, Mouse
Rabbit
Polyclonal
Unconjugated
100 μl, 50 μl, 200 μlLDL Receptor/LDLR Antibody [orb654336]
ELISA, FC, IHC, WB
Human, Rat
Rabbit
Polyclonal
Unconjugated
100 μgMouse Low Density Lipoprotein Receptor (LDLR) ELISA Kit [orb778167]
Mouse
0.16-10 ng/mL
0.06 ng/mL
96 T, 48 THuman Low Density Lipoprotein Receptor (LDLR) ELISA Kit [orb775593]
Human
0.32-20 ng/mL
0.11 ng/mL
48 T, 96 T

Quality Guarantee
Explore bioreagents carefree to elevate your research. All our products are rigorously tested for performance. If a product does not perform as described on its datasheet, our scientific support team will provide expert troubleshooting, a prompt replacement, or a refund. For full details, please see our Terms & Conditions and Buying Guide. Contact us at [email protected].

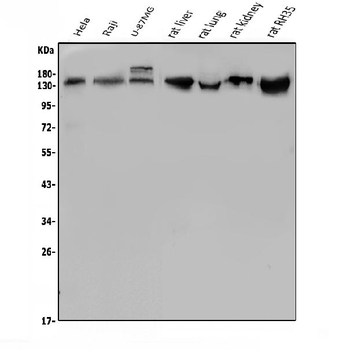
Raji cells were subjected to SDS PAGE followed by western blot with orb1292509 (LDLR antibody) at dilution of 1:1000.
Quick Database Links
UniProt Details
−Documents Download
Request a Document
Protocol Information
LDLR Antibody (orb1292509)
Participating in our Biorbyt product reviews program enables you to support fellow scientists by sharing your firsthand experience with our products.
Login to Submit a Review
















