You have no items in your shopping cart.
LSP1 Antibody
Description
Research Area
Images & Validation
−| Tested Applications | ELISA, IHC, WB |
|---|---|
| Dilution range | WB: 1:500 - 1:2000; IHC: 1:50 - 1:200 |
| Reactivity | Human, Mouse |
Key Properties
−| Antibody Type | Primary Antibody |
|---|---|
| Host | Rabbit |
| Clonality | Polyclonal |
| Isotype | IgG |
| Immunogen | lymphocyte-specific protein 1 |
| Target | LSP1 |
| Molecular Weight | 50 kDa |
| Purity | ≥95% as determined by SDS-PAGE |
| Purification | Immunogen affinity purified |
| Conjugation | Unconjugated |
Storage & Handling
−| Storage | Maintain refrigerated at 2-8°C for up to 2 weeks. For long term storage store at -20°C in small aliquots to prevent freeze-thaw cycles. |
|---|---|
| Form/Appearance | liquid |
| Disclaimer | For research use only |
Alternative Names
−Similar Products
−LSP1 Antibody [orb20459]
ELISA, IHC, WB
Bovine, Canine, Rat
Human, Mouse
Goat
Polyclonal
Unconjugated
100 μg

Quality Guarantee
Explore bioreagents carefree to elevate your research. All our products are rigorously tested for performance. If a product does not perform as described on its datasheet, our scientific support team will provide expert troubleshooting, a prompt replacement, or a refund. For full details, please see our Terms & Conditions and Buying Guide. Contact us at [email protected].

mouse lung tissue were subjected to SDS PAGE followed by western blot with orb628528 (LSP1 antibody) at dilution of 1:1000.

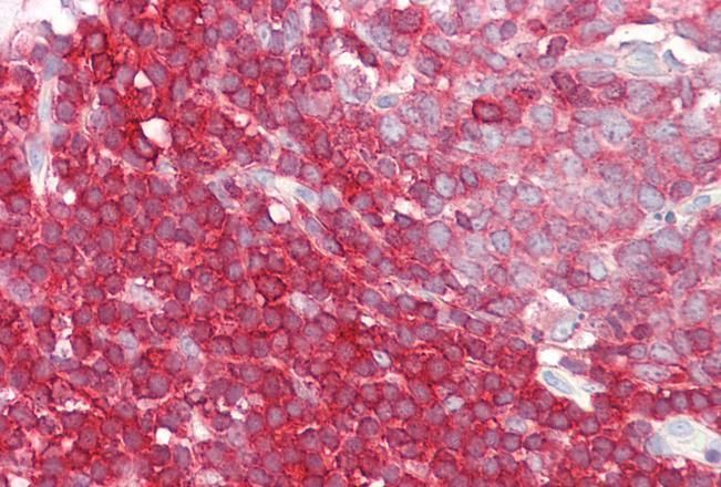
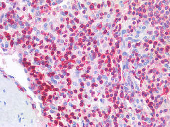
Immunohistochemistry of paraffin-embedded human gastric cancer using orb628528 (LSP1 antibody) at dilution of 1:100.
Quick Database Links
UniProt Details
−Documents Download
Request a Document
Protocol Information
LSP1 Antibody (orb628528)
Participating in our Biorbyt product reviews program enables you to support fellow scientists by sharing your firsthand experience with our products.
Login to Submit a Review










