You have no items in your shopping cart.
LYZ Antibody (C-term)
Description
Images & Validation
−| Tested Applications | IHC-P, WB |
|---|---|
| Dilution Range | WB: 1:1000, WB: 1:2000, WB: 1:2000, IHC-P: 1:25, IHC-P: 1:25, IHC-P: 1:25, IHC-P: 1:25 |
| Reactivity | Human |
Key Properties
−| Host | Rabbit |
|---|---|
| Clonality | Polyclonal |
| Isotype | Rabbit IgG |
| Immunogen | 119-154 aa |
| Target | This LYZ antibody is generated from a rabbit immunized with a KLH conjugated synthetic peptide between 119-154 amino acids from the C-terminal region of human LYZ. |
| Molecular Weight | 16537 Da |
| Conjugation | Unconjugated |
Storage & Handling
−| Storage | Maintain refrigerated at 2-8°C for up to 2 weeks. For long term storage store at -20°C in small aliquots to prevent freeze-thaw cycles |
|---|---|
| Form/Appearance | Purified polyclonal antibody supplied in PBS with 0.09% (W/V) sodium azide. This antibody is purified through a protein A column, followed by peptide affinity purification. |
| Expiration Date | 12 months from date of receipt. |
| Disclaimer | For research use only |
Alternative Names
−Similar Products
−
Quality Guarantee
Explore bioreagents carefree to elevate your research. All our products are rigorously tested for performance. If a product does not perform as described on its datasheet, our scientific support team will provide expert troubleshooting, a prompt replacement, or a refund. For full details, please see our Terms & Conditions and Buying Guide. Contact us at [email protected].

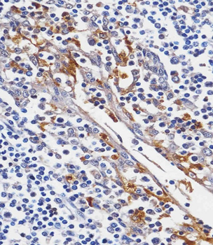
Immunohistochemical analysis of paraffin-embedded M. small intestine section using LYZ Antibody (C-term). Diluted at 1: 100 dilution. A peroxidase-conjugated goat anti-rabbit IgG at 1:400 dilution was used as the secondary antibody, followed by DAB staining.

Immunohistochemical analysis of paraffin-embedded R. small intestine section using LYZ Antibody (C-term). Diluted at 1: 100 dilution. A peroxidase-conjugated goat anti-rabbit IgG at 1:400 dilution was used as the secondary antibody, followed by DAB staining.

Immunohistochemical analysis of paraffin-embedded H. small intestine section using LYZ Antibody (C-term). Diluted at 1: 100 dilution. A peroxidase-conjugated goat anti-rabbit IgG at 1:400 dilution was used as the secondary antibody, followed by DAB staining.

Western blot analysis of lysates from HepG2, THP-1, WiDr cell line and human spleen tissue lysate (from left to right), using LYZ Antibody (C-term). Diluted at 1:1000 at each lane. A goat anti-rabbit IgG H&L (HRP) at 1:10000 dilution was used as the secondary antibody.

All lanes: Anti-LYZ Antibody (C-term) at 1:2000 dilution. Lane 1: THP-1 whole cell lysate. Lane 2: HepG2 whole cell lysate. Lane 3: Human spleen lysate. Lysates/proteins at 20 µg per lane. Secondary Goat Anti-Rabbit IgG, (H+L), Peroxidase conjugated at 1/10000 dilution. Predicted band size: 15 kDa. Blocking/Dilution buffer: 5% NFDM/TBST.

All lanes: Anti-LYZ Antibody (C-term) at 1:2000 dilution. Lane 1: WiDr whole cell lysate. Lane 2: THP-1 whole cell lysate. Lane 3: HepG2 whole cell lysate. Lane 4: Human spleen lysate. Lysates/proteins at 20 µg per lane. Secondary Goat Anti-Rabbit IgG, (H+L), Peroxidase conjugated at 1/10000 dilution. Predicted band size: 17 kDa. Blocking/Dilution buffer: 5% NFDM/TBST.

Staining LYZ in human tonsil tissue sections by Immunohistochemistry (IHC-P - paraformaldehyde-fixed, paraffin-embedded sections). Tissue was fixed with formaldehyde and blocked with 3% BSA for 0.5 hour at room temperature; antigen retrieval was by heat mediation with a citrate buffer (pH6). Samples were incubated with primary antibody (1/25) for 1 hours at 37°C. A undiluted biotinylated goat polyvalent antibody was used as the secondary antibody.
Quick Database Links
UniProt Details
−Documents Download
Request a Document
Protocol Information
LYZ Antibody (C-term) (orb1788455)
Participating in our Biorbyt product reviews program enables you to support fellow scientists by sharing your firsthand experience with our products.
Login to Submit a Review
