You have no items in your shopping cart.
LZIC Antibody
Description
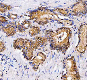
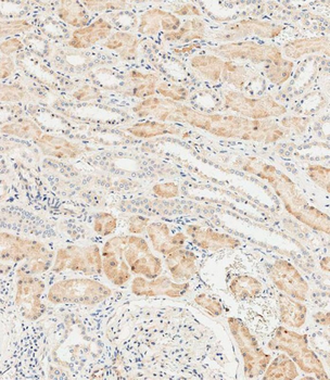
Images & Validation
−| Tested Applications | ELISA, WB |
|---|---|
| Dilution range | WB: 1:500-1:2000 |
| Reactivity | Human, Mouse, Rat |
Key Properties
−| Antibody Type | Primary Antibody |
|---|---|
| Host | Rabbit |
| Clonality | Polyclonal |
| Isotype | IgG |
| Immunogen | leucine zipper and CTNNBIP1 domain containing |
| Target | LZIC |
| Molecular Weight | 21-24kd |
| Purity | ≥95% as determined by SDS-PAGE |
| Purification | Immunogen affinity purified |
| Conjugation | Unconjugated |
Storage & Handling
−| Storage | Maintain refrigerated at 2-8°C for up to 2 weeks. For long term storage store at -20°C in small aliquots to prevent freeze-thaw cycles. |
|---|---|
| Form/Appearance | liquid |
| Disclaimer | For research use only |
Similar Products
−LZIC Antibody [orb1819486]
ELISA, FC, ICC, IF, IHC, IP, WB
Human, Mouse, Rat
Rabbit
Polyclonal
Unconjugated
100 μgLZIC Antibody (Center) [orb1933772]
FC, IF, IHC-P, WB
Mouse, Zebrafish
Human, Rat
Rabbit
Polyclonal
Unconjugated
100 μl, 50 μlLZIC Antibody [orb1880160]
FC, IF, WB
Human, Rat
Rabbit
Polyclonal
Unconjugated
30 μl, 50 μl, 200 μl, 100 μl

Quality Guarantee
Explore bioreagents carefree to elevate your research. All our products are rigorously tested for performance. If a product does not perform as described on its datasheet, our scientific support team will provide expert troubleshooting, a prompt replacement, or a refund. For full details, please see our Terms & Conditions and Buying Guide. Contact us at [email protected].

BxPC-3 cells were subjected to SDS PAGE followed by western blot with orb628561 (LZIC antibody) at dilution of 1:500.
Quick Database Links
UniProt Details
−Documents Download
Request a Document
Protocol Information
LZIC Antibody (orb628561)
Participating in our Biorbyt product reviews program enables you to support fellow scientists by sharing your firsthand experience with our products.
Login to Submit a Review













