You have no items in your shopping cart.
MAD2L1 Antibody
Description
Research Area
Images & Validation
−| Tested Applications | ELISA, IHC |
|---|---|
| Dilution range | IHC-P:1:20-1:200 |
| Reactivity | Human |
Key Properties
−| Host | Rabbit |
|---|---|
| Clonality | Polyclonal |
| Isotype | IgG |
| Immunogen | Recombinant Human Mitotic spindle assembly checkpoint protein MAD2A protein (1-205AA) |
| Target | MAD2L1 |
| Purification | Antigen Affinity Purified |
| Conjugation | Unconjugated |
Storage & Handling
−| Storage | Maintain refrigerated at 2-8°C for up to 2 weeks. For long term storage store at -20°C in small aliquots to prevent freeze-thaw cycles. |
|---|---|
| Form/Appearance | Liquid |
| Buffer/Preservatives | PBS with 0.02% sodium azide, 50% glycerol, pH7.3. |
| Disclaimer | For research use only |
Alternative Names
−Similar Products
−MAD2L1 antibody [C2C3], C-term [orb556193]
ICC, IHC-P, IP, WB
Human, Rat
Rabbit
Polyclonal
Unconjugated
100 μlMAD2 rabbit pAb Antibody [orb765613]
ELISA, IP, WB
Human, Mouse, Rat
Polyclonal
Unconjugated
50 μl, 100 μlMAD2L1 Antibody [orb628569]
ELISA, IHC, IP, WB
Human, Mouse, Rat
Rabbit
Polyclonal
Unconjugated
100 μg, 50 μg

Quality Guarantee
Explore bioreagents carefree to elevate your research. All our products are rigorously tested for performance. If a product does not perform as described on its datasheet, our scientific support team will provide expert troubleshooting, a prompt replacement, or a refund. For full details, please see our Terms & Conditions and Buying Guide. Contact us at [email protected].

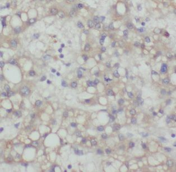
Immunohistochemistry of paraffin-embedded human colon cancer tissue using MAD2L1 antibody

Immunohistochemistry of paraffin-embedded human ovarian cancer tissue using MAD2L1 antibody
Quick Database Links
UniProt Details
−Documents Download
Request a Document
Protocol Information
MAD2L1 Antibody (orb353467)
Participating in our Biorbyt product reviews program enables you to support fellow scientists by sharing your firsthand experience with our products.
Login to Submit a Review![MAD2L1 antibody [C2C3], C-term](/images/pub/media/catalog/product/m/a/mad2l1-antibody_orb556193_if_1.jpg)
![MAD2L1 antibody [C2C3], C-term](/images/pub/media/catalog/product/m/a/mad2l1-antibody_orb556193_ihc_1.jpg)
![MAD2L1 antibody [C2C3], C-term](/images/pub/media/catalog/product/m/a/mad2l1-antibody_orb556193_ihc_2.jpg)
![MAD2L1 antibody [C2C3], C-term](/images/pub/media/catalog/product/m/a/mad2l1-antibody_orb556193_ihc-p_1.jpg)
![MAD2L1 antibody [C2C3], C-term](/images/pub/media/catalog/product/m/a/mad2l1-antibody_orb556193_ip_1.jpg)
![MAD2L1 antibody [C2C3], C-term](/images/pub/media/catalog/product/m/a/mad2l1-antibody_orb556193_wb_1.jpg)
![MAD2L1 antibody [C2C3], C-term](/images/pub/media/catalog/product/d/c/dcxr-antibody_orb556194_wb_1.jpg)












