You have no items in your shopping cart.
MAPK11 Antibody
Description
Research Area
Images & Validation
−| Tested Applications | ELISA, IF, IHC, WB |
|---|---|
| Dilution range | WB: 1:500-1:2000; IHC: 1:50-1:500 |
| Reactivity | Human, Mouse |
Key Properties
−| Antibody Type | Primary Antibody |
|---|---|
| Host | Rabbit |
| Clonality | Polyclonal |
| Isotype | IgG |
| Immunogen | Mitogen-activated protein kinase 11 |
| Target | MAPK11 |
| Molecular Weight | 41 kDa |
| Purity | ≥95% as determined by SDS-PAGE |
| Purification | Immunogen affinity purified |
| Conjugation | Unconjugated |
Storage & Handling
−| Storage | Maintain refrigerated at 2-8°C for up to 2 weeks. For long term storage store at -20°C in small aliquots to prevent freeze-thaw cycles. |
|---|---|
| Form/Appearance | liquid |
| Disclaimer | For research use only |
Alternative Names
−Similar Products
−MAPK11 Antibody [orb669237]
ELISA, FC, ICC, IF, IHC, WB
Human, Mouse, Rat
Rabbit
Polyclonal
Unconjugated
100 μgMouse Mapk11 Antibody (N-term) [orb1936293]
FC, IHC-P, WB
Human
Human, Mouse
Rabbit
Polyclonal
Unconjugated
100 μl, 50 μlMAPK11 Antibody (Center) [orb1929464]
IHC-P, WB
Human, Mouse
Rabbit
Polyclonal
Unconjugated
100 μl, 50 μl

Quality Guarantee
Explore bioreagents carefree to elevate your research. All our products are rigorously tested for performance. If a product does not perform as described on its datasheet, our scientific support team will provide expert troubleshooting, a prompt replacement, or a refund. For full details, please see our Terms & Conditions and Buying Guide. Contact us at [email protected].

Jurkat cells were subjected to SDS PAGE followed by western blot with orb756601 (mapk11 antibody) at dilution of 1:1000.

Immunofluorescent analysis of Hela cells using mapk11 antibody (orb756601) at 1:50 dilution.

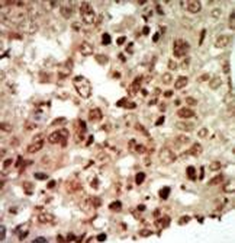
Immunohistochemistry of paraffin-embedded mouse brain tissue slide using orb756601 (mapk11 antibody) at dilution of 1:200.
Quick Database Links
UniProt Details
−Documents Download
Request a Document
Protocol Information
MAPK11 Antibody (orb756601)
Participating in our Biorbyt product reviews program enables you to support fellow scientists by sharing your firsthand experience with our products.
Login to Submit a Review















