You have no items in your shopping cart.
MCU antibody
Description
Images & Validation
−| Tested Applications | IHC-P, WB |
|---|---|
| Dilution Range | IHC-P: 1:100-800, WB: 1:100-2000, (based on 0.5 mg/ml) |
| Reactivity | Human, Mouse, Rat |
Key Properties
−| Host | Rabbit |
|---|---|
| Clonality | Polyclonal |
| Isotype | IgG |
| Immunogen | KLH conjugated synthetic peptide derived from human MCU. Please contact us for the exact immunogen sequence. The peptide is available as orb374970. |
| Target | MCU |
| Molecular Weight | 40 kDa |
| Purity | Polyclonal antibodies are purified by peptide affinity chromatography |
| Conjugation | Unconjugated |
Storage & Handling
−| Storage | Maintain refrigerated at 2-8°C for up to 2 weeks. For long term storage store at -20°C in small aliquots to prevent freeze-thaw cycles. |
|---|---|
| Form/Appearance | 10 mM PBS, 0.02% sodium azide |
| Concentration | - 100 μg (in 200 μl): 0.5 mg/ml- 200 μg (in 400 μl): 0.5 mg/ml |
| Expiration Date | 12 months from date of receipt. |
| Disclaimer | For research use only |
Alternative Names
−Similar Products
−MCU Rabbit Polyclonal Antibody [orb669189]
ELISA, FC, IHC, WB
Human, Monkey, Mouse, Rat
Rabbit
Polyclonal
Unconjugated
100 μgMCU Rabbit Polyclonal Antibody [orb317655]
ELISA, ICC, IF, IHC-Fr, IHC-P, WB
Bovine, Canine, Equine, Human, Porcine, Rabbit, Sheep
Mouse, Rat
Rabbit
Polyclonal
Unconjugated
50 μl, 100 μl, 200 μl

Quality Guarantee
Explore bioreagents carefree to elevate your research. All our products are rigorously tested for performance. If a product does not perform as described on its datasheet, our scientific support team will provide expert troubleshooting, a prompt replacement, or a refund. For full details, please see our Terms & Conditions and Buying Guide. Contact us at [email protected].

Immunohistochemical staining of paraffin embedded rat lung tissue using anti-MCU (2.5 ug/ml)

WB analysis of mouse spleen (lane 1), Hela cells (lane 2), U251 cells (lane 3), 293T cells (lane 4) using MCU antibody (1 ug/ml)

Immunohistochemical staining of paraffin embedded human endometrial cancer tissue using MCU antibody (2.5 ug/ml)

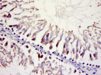
Immunohistochemical staining of rat testis tissue using anti-MCU (2.5 ug/ml)

IHC-P staining of rat kidney tissue using MCU antibody (2.5 ug/ml)

IHC-P image of rat lung tissue using anti-MCU (2.5 ug/ml)

IHC-P image of rat lung tissue using MCU antibody (2.5 ug/ml)

Western blot analysis of rat lung (lane 1), rat stomach (lane 2), rat testis (lane 3), rat kidney (lane 4) using MCU antibody (1 ug/ml)
Quick Database Links
Documents Download
Request a Document
Protocol Information
MCU antibody (orb348963)
Participating in our Biorbyt product reviews program enables you to support fellow scientists by sharing your firsthand experience with our products.
Login to Submit a ReviewFilter by Rating
- 5 stars
- 4 stars
- 3 stars
- 2 stars
- 1 stars
Filter by Applications
Filter by Species
MCU antibody works for finding the MCU in platelets mitochondria. We have used it in our lab for one year and it has given us good results. Its selectivity is better than other antibodies we have used. If you are using it for western blotting, it shows good specificity. It is easy and reliable to use for detection of MCU through western blotting.



















