You have no items in your shopping cart.
MDH1 Antibody
Description
Research Area
Images & Validation
−| Tested Applications | ELISA, FC, IF, IP, WB |
|---|---|
| Dilution range | WB: 1:500-1:3000; IP: 1:500-1:2000; IHC: 1:50-1:500; IF: 1:10-1:100 |
| Reactivity | Human, Mouse, Rat |
Key Properties
−| Antibody Type | Primary Antibody |
|---|---|
| Host | Rabbit |
| Clonality | Polyclonal |
| Isotype | IgG |
| Immunogen | malate dehydrogenase 1, NAD(soluble) |
| Target | MDH1 |
| Molecular Weight | 36 kDa |
| Purity | ≥95% as determined by SDS-PAGE |
| Purification | Immunogen affinity purified |
| Conjugation | Unconjugated |
Storage & Handling
−| Storage | Maintain refrigerated at 2-8°C for up to 2 weeks. For long term storage store at -20°C in small aliquots to prevent freeze-thaw cycles. |
|---|---|
| Form/Appearance | liquid |
| Disclaimer | For research use only |
Alternative Names
−Similar Products
−MDH1 Rabbit Polyclonal Antibody [orb6403]
FC, IF, IHC-Fr, IHC-P, WB
Bovine, Canine, Equine, Gallus, Porcine, Rabbit
Human, Mouse, Rat
Rabbit
Polyclonal
Unconjugated
50 μl, 100 μl, 200 μlMDH1 Antibody (C-term) [orb1931348]
FC, IHC-P, WB
Bovine, Gallus, Porcine
Human, Mouse, Rat
Rabbit
Polyclonal
Unconjugated
50 μl, 100 μl

Quality Guarantee
Explore bioreagents carefree to elevate your research. All our products are rigorously tested for performance. If a product does not perform as described on its datasheet, our scientific support team will provide expert troubleshooting, a prompt replacement, or a refund. For full details, please see our Terms & Conditions and Buying Guide. Contact us at [email protected].

HepG2 cells were subjected to SDS PAGE followed by western blot with orb628708 (MDH1 antibody) at dilution of 1:500.

Immunofluorescent analysis of HepG2 cells, using MDH1 antibody orb628708 at 1:25 dilution and Rhodamine-labeled goat anti-rabbit IgG (red).

IP Result of anti-MDH1 (IP: orb628708, 4 ug; Detection: orb628708 1:800) with mouse liver tissue lysate 6400 ug.

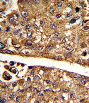
Immunohistochemistry of paraffin-embedded human liver cancer tissue slide using orb628708 (MDH1 Antibody) at dilution of 1:100.
Quick Database Links
UniProt Details
−Documents Download
Request a Document
Protocol Information
MDH1 Antibody (orb628708)
Participating in our Biorbyt product reviews program enables you to support fellow scientists by sharing your firsthand experience with our products.
Login to Submit a Review








