You have no items in your shopping cart.
MAP2K1 MAP2K2 Antibody
Description
Images & Validation
−| Tested Applications | IF, IHC, WB |
|---|---|
| Reactivity | Human, Mouse, Rat |
| Application Notes |
Key Properties
−| Antibody Type | Primary Antibody |
|---|---|
| Host | Rabbit |
| Clonality | Polyclonal |
| Immunogen | MEK1/MEK2 (Ab-217/221) antibody was raised against a peptide sequence around aa.215~219/219~223 (I-D-S-M-A) derived from Human MEK1/MEK2. |
| Target | MAP2K1 MAP2K2 |
| Molecular Weight | 45 kDa |
| Purification | Antibodies were purified by affinity-chromatography using epitope-specific peptide. |
| Conjugation | Unconjugated |
Storage & Handling
−| Storage | Maintain refrigerated at 2-8°C for up to 2 weeks. For long term storage store at -20°C in small aliquots to prevent freeze-thaw cycles. |
|---|---|
| Form/Appearance | Liquid |
| Buffer/Preservatives | Antibody supplied in phosphate buffered saline (without Mg2+ and Ca2+), pH 7.4, 150mM NaCl, 0.02% sodium azide and 50% glycerol. |
| Concentration | 1 mg/mL |
| Expiration Date | 12 months from date of receipt. |
| Disclaimer | For research use only |
Alternative Names
−Similar Products
−MEK-1/2 (phospho Ser218/222) rabbit pAb Antibody [orb764230]
ELISA, IF, IHC, WB
Human, Mouse, Rat
Polyclonal
Unconjugated
100 μlMEK-1/2 rabbit pAb Antibody [orb765647]
ELISA, IF, IHC, WB
Human, Monkey, Mouse, Rat
Polyclonal
Unconjugated
100 μlPhospho-MEK1/2 (Ser221) (D3) rabbit mAb Antibody [orb1946141]
FC, WB
Human, Mouse
Rabbit
Monoclonal
Unconjugated
200 μl, 20 μlMEK-1/2 (phospho Ser222/226) rabbit pAb Antibody [orb769700]
ELISA, IF, IHC, WB
Human, Mouse, Rat
Polyclonal
Unconjugated
100 μl, 50 μlMKK1/2 (Phospho-S222/226) Antibody [orb224177]
IF, IHC, IP, WB
Canine, Gallus, Human, Mouse, Rabbit, Rat, Zebrafish
Rabbit
Polyclonal
Unconjugated
50 μl, 30 μl, 100 μl, 200 μl

Quality Guarantee
Explore bioreagents carefree to elevate your research. All our products are rigorously tested for performance. If a product does not perform as described on its datasheet, our scientific support team will provide expert troubleshooting, a prompt replacement, or a refund. For full details, please see our Terms & Conditions and Buying Guide. Contact us at [email protected].

Western blot analysis of lysed extracts from 293 cells using MEK1/MEK2.

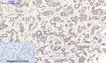
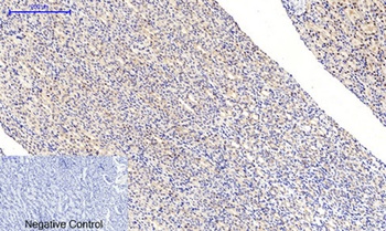
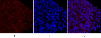
Top Image: Immunohistochemical analysis of paraffin-embedded human lung carcinoma tissue using MEK1/MEK2. Bottom Image: Immunofluorescence staining of methanol-fixed HeLa cells using MEK1/MEK2.
Quick Database Links
UniProt Details
−NCBI Reference Sequences
−| Protein | NP_109587.1, NP_002746.1 |
|---|
Documents Download
Request a Document
Protocol Information
MAP2K1 MAP2K2 Antibody (orb1253580)
Participating in our Biorbyt product reviews program enables you to support fellow scientists by sharing your firsthand experience with our products.
Login to Submit a Review

















