You have no items in your shopping cart.
MINDY4 Rabbit Polyclonal Antibody
Description
Research Area
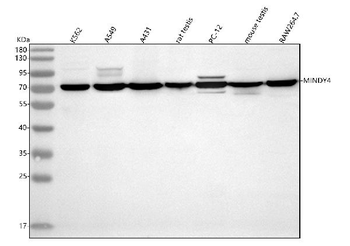
Images & Validation
−| Tested Applications | WB |
|---|---|
| Reactivity | Human |
| Predicted Reactivity | Bovine, Equine, Guinea pig, Rabbit |
Key Properties
−| Host | Rabbit |
|---|---|
| Clonality | Polyclonal |
| Immunogen | The immunogen is a synthetic peptide directed towards the N-terminal region of Human FAM188B |
| Target | MINDY4 |
| Protein Sequence | Synthetic peptide located within the following region: HSEPSLDVKRMGENSRPKSGLIVRGMMSGPIASSPQDSFHRHYLRRSSPS |
| Molecular Weight | 84kDa |
| Purification | Affinity Purified |
| Conjugation | Unconjugated |
Storage & Handling
−| Storage | Maintain refrigerated at 2-8°C for up to 2 weeks. For long term storage store at -20°C in small aliquots to prevent freeze-thaw cycles. |
|---|---|
| Buffer/Preservatives | Liquid. Purified antibody supplied in 1x PBS buffer with 0.09% (w/v) sodium azide and 2% sucrose. |
| Concentration | 0.5 mg/ml |
| Expiration Date | 12 months from date of receipt. |
| Disclaimer | For research use only |
Alternative Names
−Similar Products
−MINDY4 Rabbit Polyclonal Antibody [orb1939983]
ELISA, IHC, WB
Human, Mouse, Rat
Rabbit
Polyclonal
Unconjugated
100 μgMINDY4 Rabbit Polyclonal Antibody (HRP) [orb2086361]
WB
Bovine, Equine, Guinea pig, Human, Rabbit
Rabbit
Polyclonal
HRP
100 μlMINDY4 Rabbit Polyclonal Antibody (FITC) [orb2086362]
WB
Bovine, Equine, Guinea pig, Human, Rabbit
Rabbit
Polyclonal
FITC
100 μlMINDY4 Rabbit Polyclonal Antibody (Biotin) [orb2086363]
WB
Bovine, Equine, Guinea pig, Human, Rabbit
Rabbit
Polyclonal
Biotin
100 μlMINDY4 Rabbit Polyclonal Antibody (Fluoro647) [orb3091752]
FC
Human, Mouse, Rat
Rabbit
Polyclonal
Fluoro647
100 μg

Quality Guarantee
Explore bioreagents carefree to elevate your research. All our products are rigorously tested for performance. If a product does not perform as described on its datasheet, our scientific support team will provide expert troubleshooting, a prompt replacement, or a refund. For full details, please see our Terms & Conditions and Buying Guide. Contact us at [email protected].

Sample Type: Hela Whole cell lysates, Antibody dilution: 1.0 ug/ml.
Documents Download
Request a Document
MINDY4 Rabbit Polyclonal Antibody (orb587413)
Participating in our Biorbyt product reviews program enables you to support fellow scientists by sharing your firsthand experience with our products.
Login to Submit a Review


