You have no items in your shopping cart.
MOB1A Antibody
Description
Research Area
Images & Validation
−| Tested Applications | ELISA, IF, IHC, IP, WB |
|---|---|
| Dilution range | WB:1:200-1000, IHC-P:1:20-1:200 |
| Reactivity | Human |
Key Properties
−| Host | Rabbit |
|---|---|
| Clonality | Polyclonal |
| Isotype | IgG |
| Immunogen | Recombinant Human MOB kinase activator 1A protein (2-216AA) |
| Target | MOB1A |
| Purification | >95%, Protein G purified |
| Conjugation | Unconjugated |
Storage & Handling
−| Storage | Maintain refrigerated at 2-8°C for up to 2 weeks. For long term storage store at -20°C in small aliquots to prevent freeze-thaw cycles. |
|---|---|
| Form/Appearance | Liquid |
| Buffer/Preservatives | Preservative: 0.03% Proclin 300. Constituents: 50% Glycerol |
| Disclaimer | For research use only |
Alternative Names
−Similar Products
−Mob1A rabbit pAb Antibody [orb765685]
ELISA, IF, IHC, WB
Human, Monkey, Mouse
Polyclonal
Unconjugated
100 μl, 50 μlMOB1A Antibody [orb628877]
ELISA, IHC, IP, WB
Human, Mouse, Rat
Rabbit
Polyclonal
Unconjugated
100 μg, 50 μgMOB1A Antibody [orb524542]
ELISA, IHC, WB
Human, Mouse, Rat
Rabbit
Polyclonal
Unconjugated
50 μl, 100 μl

Quality Guarantee
Explore bioreagents carefree to elevate your research. All our products are rigorously tested for performance. If a product does not perform as described on its datasheet, our scientific support team will provide expert troubleshooting, a prompt replacement, or a refund. For full details, please see our Terms & Conditions and Buying Guide. Contact us at [email protected].

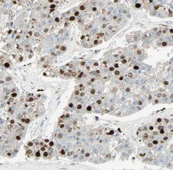
Immunohistochemistry of paraffin-embedded human breast cancer tissue using MOB1A antibody

Western blot aanalysis of Jurkat whole cell lysate (Lane1), Mouse small intestine tissue (Lane2)using MOB1A antibody

Western blot aanalysis of K562 whole cell lysateusing MOB1A antibody

Immunoprecipitation analysis of Jurkat whole cell lysate using MOB1A antibody

Immunofluorescence staining of HepG2 cells using MOB1A antibody

Immunohistochemistry of paraffin-embedded human small intestine tissue using MOB1A antibody
Quick Database Links
UniProt Details
−Documents Download
Request a Document
Protocol Information
MOB1A Antibody (orb352033)
Participating in our Biorbyt product reviews program enables you to support fellow scientists by sharing your firsthand experience with our products.
Login to Submit a Review















