You have no items in your shopping cart.
ABCC1 Antibody
Description
Research Area
Images & Validation
−| Tested Applications | ELISA, FC, WB |
|---|---|
| Dilution Range | FACS: 0.5-1 μg/million cells, IF/ICC: 0.5-1 μg/ml, WB: 0.5-1 μg/ml, IHC-P: 1-2 μg/ml |
| Reactivity | Human |
| Application Notes |
Key Properties
−| Host | Mouse |
|---|---|
| Clonality | Monoclonal |
| Isotype | IgG1 |
| Clone No. | MRP1/1343 |
| Immunogen | Recombinant full-length human ABCC1 protein |
| Target | ABCC1 |
| Source/Expression System | Bioreactor |
| Molecular Weight | 190kDa |
| Purification | Protein G |
| Conjugation | Unconjugated |
Storage & Handling
−| Storage | Maintain refrigerated at 2-8°C for up to 2 weeks. For long term storage store at -20°C in small aliquots to prevent freeze-thaw cycles. |
|---|---|
| Form/Appearance | 200ug/ml of Ab Purified from Bioreactor Concentrate by Protein A/G. Prepared in 10mM PBS with 0.05% rAlbumin & 0.05% azide. Also available WITHOUT rAlbumin & azide at 1.0mg/ml. |
| Expiration Date | 12 months from date of receipt. |
| Disclaimer | For research use only |
Alternative Names
−Similar Products
−MRP1/ABCC1 Rabbit Polyclonal Antibody [orb11074]
FC, IF, IHC-Fr, IHC-P
Bovine, Gallus, Mouse
Human, Rat
Rabbit
Polyclonal
Unconjugated
50 μl, 100 μl, 200 μlRat Multidrug Resistance Associated Protein 1 (MRP1) ELISA Kit [orb780920]
Rat
0.16-10 ng/mL
0.056 ng/mL
96 T, 48 TMRP1/ABCC1 Rabbit Polyclonal Antibody [orb559005]
WB
Bovine, Canine, Gallus, Human, Rabbit, Rat, Sheep
Mouse
Rabbit
Polyclonal
Unconjugated
50 μl, 100 μl, 200 μl

Quality Guarantee
Explore bioreagents carefree to elevate your research. All our products are rigorously tested for performance. If a product does not perform as described on its datasheet, our scientific support team will provide expert troubleshooting, a prompt replacement, or a refund. For full details, please see our Terms & Conditions and Buying Guide. Contact us at [email protected].

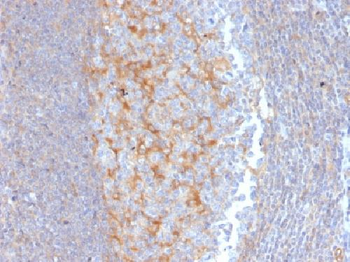
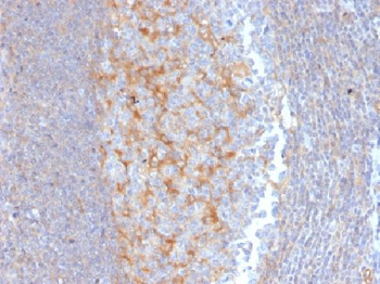
Immunohistochemical staining of human Tonsil tissue using ABCC1 antibody

Immunohistochemical staining of human Pancreas tissue using ABCC1 antibody

Immunohistochemical staining of human Pancreas tissue using ABCC1 antibody

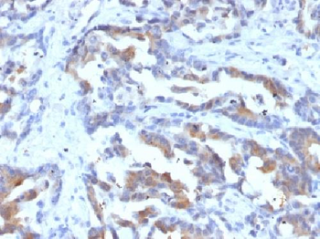
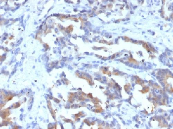
Immunohistochemical staining of human Colon Carcinoma tissue using ABCC1 antibody

Immunohistochemical staining of human Duodenum tissue using ABCC1 antibody
Quick Database Links
UniProt Details
−Documents Download
Request a Document
Protocol Information
ABCC1 Antibody (orb388443)
Participating in our Biorbyt product reviews program enables you to support fellow scientists by sharing your firsthand experience with our products.
Login to Submit a Review














