You have no items in your shopping cart.
serine/threonine kinase 4 Antibody
Description
Research Area
Images & Validation
−| Tested Applications | ICC, IHC-P, IP, WB |
|---|---|
| Dilution Range | WB: 1:500-1:3000 , IF: 1:100-1:1000 , IHC-P: 1:100-1:1000 , IP: 1:100-1:500 |
| Reactivity | Human |
Key Properties
−| Antibody Type | Primary Antibody |
|---|---|
| Host | Rabbit |
| Clonality | Polyclonal |
| Isotype | IgG |
| Immunogen | Carrier-protein conjugated synthetic peptide encompassing a sequence within the C-terminus region of human MST1. The exact sequence is proprietary. |
| Target | MST1 |
| Molecular Weight | 56 |
| Purity | Purified by antigen-affinity chromatography. |
| Purification | Purified by antigen-affinity chromatography. |
| Conjugation | Unconjugated |
Storage & Handling
−| Storage | Store as concentrated solution. Centrifuge briefly prior to opening vial. For short-term storage (1-2 weeks), store at 4°C. For long-term storage, aliquot and store at -20°lC or below. Avoid multiple freeze-thaw cycles. |
|---|---|
| Form/Appearance | Liquid: 0.1M Tris, 0.1M Glycine, 10% Glycerol (pH7). 0.01% Thimerosal was added as a preservative. |
| Buffer/Preservatives | 0.1M Tris, 0.1M Glycine, 10% Glycerol, 0.01% Thimerosal. |
| Concentration | 1 mg/ml |
| Expiration Date | 12 months from date of receipt. |
| Disclaimer | For research use only |
Alternative Names
−Similar Products
−Phospho-CDK9 (Thr29) Rabbit Polyclonal Antibody [orb221366]
IF, IHC-Fr, IHC-P
Bovine, Canine, Gallus, Porcine, Zebrafish
Human, Mouse, Rat
Rabbit
Polyclonal
Unconjugated
50 μl, 100 μl, 200 μlMST1 Rabbit Polyclonal Antibody [orb6448]
FC, IF, IHC-Fr, IHC-P
Bovine, Canine, Equine, Mouse, Rabbit
Human, Rat
Rabbit
Polyclonal
Unconjugated
50 μl, 100 μl, 200 μlMst2 Rabbit Polyclonal Antibody [orb157906]
ICC, IF, IHC-Fr, IHC-P
Bovine, Canine, Equine, Porcine, Rabbit
Human, Mouse, Rat
Rabbit
Polyclonal
Unconjugated
100 μl, 200 μl, 50 μlPhospho-MST4 + MST3 + STK25 (Thr178 + Thr190 + Thr174) Rabbit Polyclonal Antibody [orb185140]
IF, IHC-Fr, IHC-P, WB
Bovine, Equine, Sheep
Human, Mouse, Rat
Rabbit
Polyclonal
Unconjugated
100 μl, 50 μl, 200 μl

Quality Guarantee
Explore bioreagents carefree to elevate your research. All our products are rigorously tested for performance. If a product does not perform as described on its datasheet, our scientific support team will provide expert troubleshooting, a prompt replacement, or a refund. For full details, please see our Terms & Conditions and Buying Guide. Contact us at [email protected].

Immunofluorescence analysis of U2OS cells using MST1 antibody

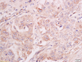
Immunohistochemical staining of Cal27 Xenograft using MST1 antibody

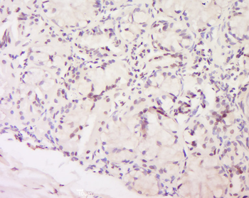
Immunohistochemical staining of human lung using MST1 antibody

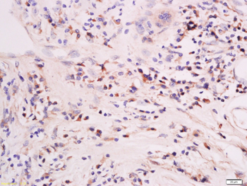
Immunoprecipitation analysis of HepG2 whole cell using MST1 antibody

Western blot analysis of Mouse tissue using MST1 antibody

Western blot analysis of Hep G2 cells using MST1 antibody
Quick Database Links
UniProt Details
−Documents Download
Request a Document
Protocol Information
serine/threonine kinase 4 Antibody (orb556600)
Participating in our Biorbyt product reviews program enables you to support fellow scientists by sharing your firsthand experience with our products.
Login to Submit a Review



































