You have no items in your shopping cart.
MTDH Antibody
Description
Research Area
Images & Validation
−| Tested Applications | IF, IHC, WB |
|---|---|
| Reactivity | Human, Mouse, Rat |
| Application Notes |
Key Properties
−| Antibody Type | Primary Antibody |
|---|---|
| Host | Rabbit |
| Clonality | Polyclonal |
| Isotype | IgG |
| Immunogen | Recombinant fusion protein containing a sequence corresponding to amino acids 1-260 of human MTDH (NP_848927.2). |
| Target | MTDH |
| Molecular Weight | Observed: 64kDa |
| Purification | Affinity purification |
| Conjugation | Unconjugated |
Storage & Handling
−| Storage | Maintain refrigerated at 2-8°C for up to 2 weeks. For long term storage store at -20°C in small aliquots to prevent freeze-thaw cycles. |
|---|---|
| Form/Appearance | Liquid |
| Buffer/Preservatives | PBS with 0.02% sodium azide, 50% glycerol, pH 7.3. |
| Concentration | batch dependent |
| Expiration Date | 12 months from date of receipt. |
| Disclaimer | For research use only |
Alternative Names
−Similar Products
−LYRIC/MTDH Rabbit Polyclonal Antibody [orb251521]
ICC, IHC, WB
Human, Mouse, Rat
Rabbit
Polyclonal
Unconjugated
100 μgLYRIC Rabbit Polyclonal Antibody [orb4373]
FC, IF, IHC-Fr, IHC-P, WB
Bovine, Canine, Mouse, Porcine, Rat
Human
Rabbit
Polyclonal
Unconjugated
50 μl, 100 μl, 200 μl

Quality Guarantee
Explore bioreagents carefree to elevate your research. All our products are rigorously tested for performance. If a product does not perform as described on its datasheet, our scientific support team will provide expert troubleshooting, a prompt replacement, or a refund. For full details, please see our Terms & Conditions and Buying Guide. Contact us at [email protected].

Western blot analysis of extracts of 22Rv1 cells, using MTDH antibody (orb1257269) at 1:1000 dilution. Secondary antibody: HRP Goat Anti-Rabbit IgG (H+L) at 1:10000 dilution. Lysates/proteins: 25 ug per lane. Blocking buffer: 3% nonfat dry milk in TBST. Detection: ECL Basic Kit. Exposure time: 90s.

Immunohistochemistry of paraffin-embedded rat brain using MTDH antibody (orb1257269) at dilution of 1:200 (40x lens).

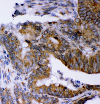
Immunohistochemistry of paraffin-embedded human gastric using MTDH antibody (orb1257269) at dilution of 1:200 (40x lens).

Immunohistochemistry of paraffin-embedded mouse brain using MTDH antibody (orb1257269) at dilution of 1:200 (40x lens).

Immunofluorescence analysis of U2OS cells using MTDH antibody (orb1257269) at dilution of 1:100. Blue: DAPI for nuclear staining.
Quick Database Links
UniProt Details
−Documents Download
Request a Document
Protocol Information
MTDH Antibody (orb1257269)
Participating in our Biorbyt product reviews program enables you to support fellow scientists by sharing your firsthand experience with our products.
Login to Submit a Review














