You have no items in your shopping cart.
MTHFD2 Antibody
Description
Images & Validation
−| Tested Applications | IF, IHC, WB |
|---|---|
| Reactivity | Human, Mouse, Rat |
| Application Notes |
Key Properties
−| Antibody Type | Primary Antibody |
|---|---|
| Host | Rabbit |
| Clonality | Polyclonal |
| Isotype | IgG |
| Immunogen | Recombinant fusion protein containing a sequence corresponding to amino acids 40-250 of human MTHFD2 (NP_006627.2). |
| Target | MTHFD2 |
| Molecular Weight | Observed: 38kDa |
| Purification | Affinity purification |
| Conjugation | Unconjugated |
Storage & Handling
−| Storage | Maintain refrigerated at 2-8°C for up to 2 weeks. For long term storage store at -20°C in small aliquots to prevent freeze-thaw cycles. |
|---|---|
| Form/Appearance | Liquid |
| Buffer/Preservatives | PBS with 0.02% sodium azide, 50% glycerol, pH 7.3. |
| Concentration | batch dependent |
| Expiration Date | 12 months from date of receipt. |
| Disclaimer | For research use only |
Alternative Names
−Similar Products
−MTHFD2 Antibody [orb411750]
IF, IHC, WB
Human, Mouse
Rabbit
Polyclonal
Unconjugated
30 μl, 50 μl, 100 μl, 200 μlMTHFD2 Rabbit Polyclonal Antibody [orb579635]
WB
Bovine, Canine, Equine, Guinea pig, Mouse, Rabbit, Rat, Yeast, Zebrafish
Human
Rabbit
Polyclonal
Unconjugated
100 μlMTHFD2 Rabbit Polyclonal Antibody [orb629017]
ELISA, IHC, WB
Human, Mouse, Rat
Rabbit
Polyclonal
Unconjugated
50 μg, 100 μg

Quality Guarantee
Explore bioreagents carefree to elevate your research. All our products are rigorously tested for performance. If a product does not perform as described on its datasheet, our scientific support team will provide expert troubleshooting, a prompt replacement, or a refund. For full details, please see our Terms & Conditions and Buying Guide. Contact us at [email protected].

Western blot analysis of extracts of various cell lines, using MTHFD2 antibody at 1:1000 dilution.

Immunohistochemistry of paraffin-embedded human mammary cancer using MTHFD2 antibody at dilution of 1:100 (40x lens).

Immunohistochemistry of paraffin-embedded human liver cancer using MTHFD2 antibody at dilution of 1:100 (40x lens).

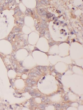
Immunohistochemistry of paraffin-embedded rat kidney using MTHFD2 antibody at dilution of 1:100 (40x lens).

Immunohistochemistry of paraffin-embedded mouse kidney using MTHFD2 antibody at dilution of 1:100 (40x lens).

Immunofluorescence analysis of C6 cells using MTHFD2 antibody at dilution of 1:100. Blue: DAPI for nuclear staining.

Immunofluorescence analysis of NIH-3T3 cells using MTHFD2 antibody at dilution of 1:100. Blue: DAPI for nuclear staining.

Immunofluorescence analysis of U-2 OS cells using MTHFD2 antibody at dilution of 1:100. Blue: DAPI for nuclear staining.

Immunofluorescence analysis of U-2 OS cells using MTHFD2 antibody at dilution of 1:100. Blue: DAPI for nuclear staining.
Quick Database Links
UniProt Details
−Documents Download
Request a Document
Protocol Information
MTHFD2 Antibody (orb1261499)
Participating in our Biorbyt product reviews program enables you to support fellow scientists by sharing your firsthand experience with our products.
Login to Submit a Review









