You have no items in your shopping cart.
MVP/LRP antibody
Description
Research Area
Images & Validation
−| Tested Applications | ICC, IHC-P, WB |
|---|---|
| Dilution Range | WB: 1:500-1:3000 , IF: 1:100-1:1000 , IHC-P: 1:100-1:1000 |
| Reactivity | Human, Mouse |
| Application Notes |
Key Properties
−| Antibody Type | Primary Antibody |
|---|---|
| Host | Rabbit |
| Clonality | Polyclonal |
| Isotype | IgG |
| Immunogen | Recombinant protein encompassing a sequence within the center region of human MVP/LRP. The exact sequence is proprietary. |
| Target | MVP/LRP |
| Molecular Weight | 99 |
| Purity | Purified by antigen-affinity chromatography. |
| Purification | Purified by antigen-affinity chromatography. |
| Conjugation | Unconjugated |
Storage & Handling
−| Storage | Store as concentrated solution. Centrifuge briefly prior to opening vial. For short-term storage (1-2 weeks), store at 4°C. For long-term storage, aliquot and store at -20°lC or below. Avoid multiple freeze-thaw cycles. |
|---|---|
| Form/Appearance | Liquid: 0.1M Tris, 0.1M Glycine, 20% Glycerol (pH7). 0.01% Thimerosal was added as a preservative. |
| Buffer/Preservatives | 0.01% Thimerosal. 0.1M Tris-Glycine (pH7), 20% Glycerol |
| Concentration | 1 mg/ml |
| Expiration Date | 12 months from date of receipt. |
| Disclaimer | For research use only |
Alternative Names
−Similar Products
−MVP Mouse Monoclonal Antibody [orb610911]
FC, ICC, IF, IHC, WB
Human, Mouse, Rat
Mouse
Monoclonal
Unconjugated
100 μgMVP Rabbit Polyclonal Antibody [orb413009]
ELISA, FC, ICC, IF, IHC, IHC-Fr, WB
Human, Mouse, Rat
Rabbit
Polyclonal
Unconjugated
100 μgMajor Vault Protein (MVP) Antibody - With BSA and Azide [orb1789518]
FC, IF, IHC
Human
Mouse
Monoclonal
Unconjugated
20 μgMajor Vault Protein (MVP) Antibody - With BSA and Azide [orb1461602]
FC, IF, IHC
Human
Mouse
Monoclonal
Unconjugated

Quality Guarantee
Explore bioreagents carefree to elevate your research. All our products are rigorously tested for performance. If a product does not perform as described on its datasheet, our scientific support team will provide expert troubleshooting, a prompt replacement, or a refund. For full details, please see our Terms & Conditions and Buying Guide. Contact us at [email protected].

Immunofluorescence analysis of A431 cells using MVP/LRP antibody

Immunohistochemical staining of mouse colon using MVP/LRP antibody

Immunohistochemical staining of A549 xenograft using MVP/LRP antibody

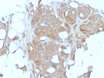
Immunohistochemical staining of human breast carcinoma using MVP/LRP antibody

Western blot analysis of Neuro2A whole cell lysate(Lane 1), GL261 whole cell lysate(Lane 2), C8D30 whole cell lysate(Lane 3), BCL-1 whole cell lysate(Lane 4), Raw264.7 whole cell lysate(Lane 5) using MVP/LRP antibody

Western blot analysis of Molt-4 cells using MVP/LRP antibody
Quick Database Links
UniProt Details
−Documents Download
Request a Document
Protocol Information
MVP/LRP antibody (orb556872)
Participating in our Biorbyt product reviews program enables you to support fellow scientists by sharing your firsthand experience with our products.
Login to Submit a Review






















