You have no items in your shopping cart.
MYH11 Antibody
Description
Research Area
Images & Validation
−| Tested Applications | IF, IHC, WB |
|---|---|
| Reactivity | Human, Mouse, Rat |
| Application Notes |
Key Properties
−| Antibody Type | Primary Antibody |
|---|---|
| Host | Rabbit |
| Clonality | Polyclonal |
| Isotype | IgG |
| Immunogen | Recombinant fusion protein containing a sequence corresponding to amino acids 1680-1979 of human MYH11 (NP_001035203.1). |
| Target | MYH11 |
| Molecular Weight | Observed: 250kDa |
| Purification | Affinity purification |
| Conjugation | Unconjugated |
Storage & Handling
−| Storage | Maintain refrigerated at 2-8°C for up to 2 weeks. For long term storage store at -20°C in small aliquots to prevent freeze-thaw cycles. |
|---|---|
| Buffer/Preservatives | Liquid |
| Concentration | batch dependent |
| Disclaimer | For research use only |
Alternative Names
−Similar Products
−MYH11 Antibody [orb388491]
FC, IF, IHC
Human, Rat
Mouse
Monoclonal
Unconjugated
20 μg, 100 μg, 100 μg (without BSA and Azide)MYH11 Antibody [orb388492]
FC, IF, IHC
Human, Rat
Mouse
Monoclonal
Unconjugated
20 μg, 100 μg, 100 μg (without BSA and Azide)Human Myosin Heavy Chain 11, Smooth Muscle (MYH11) ELISA Kit [orb778297]
Human
0.79-50 ng/mL
0.28 ng/mL
96 T, 48 TMYH11 Antibody [orb1410088]
IHC
Human
Rabbit
Monoclonal
Unconjugated
20 μg, 100 μg, 100 μg (without BSA and Azide)MYH11 Antibody [orb1410577]
IHC
Human
Rabbit
Monoclonal
Unconjugated
20 μg, 100 μg, 100 μg (without BSA and Azide)

Quality Guarantee
Explore bioreagents carefree to elevate your research. All our products are rigorously tested for performance. If a product does not perform as described on its datasheet, our scientific support team will provide expert troubleshooting, a prompt replacement, or a refund. For full details, please see our Terms & Conditions and Buying Guide. Contact us at [email protected].

Western blot analysis of extracts of various cell lines, using MYH11 antibody at 1:1000 dilution.

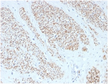
Immunohistochemistry of paraffin-embedded human appendix using MYH11 antibody at dilution of 1:100 (40x lens).

Immunohistochemistry of paraffin-embedded human lung using MYH11 antibody at dilution of 1:100 (40x lens).

Immunohistochemistry of paraffin-embedded human stomach using MYH11 antibody at dilution of 1:100 (40x lens).

Immunohistochemistry of paraffin-embedded rat spleen using MYH11 antibody at dilution of 1:100 (40x lens).

Immunofluorescence analysis of human placenta cells using MYH11 antibody at dilution of 1:100. Blue: DAPI for nuclear staining.
Quick Database Links
UniProt Details
−Documents Download
Request a Document
Protocol Information
MYH11 Antibody (orb1261338)
Participating in our Biorbyt product reviews program enables you to support fellow scientists by sharing your firsthand experience with our products.
Login to Submit a Review












