You have no items in your shopping cart.
Neuronal thread protein AD7c-NTP Rabbit Polyclonal Antibody
Description
Images & Validation
−| Tested Applications | FC, IF, IHC-Fr, IHC-P, WB |
|---|---|
| Dilution Range | WB=1:500-2000, IHC-P=1:100-500, IHC-F=1:100-500, IF=1:100-500, Flow-Cyt=1ug/Test |
| Reactivity | Human, Mouse, Rat |
| Predicted Reactivity | Mouse, Rat |
Related Conjugates & Formulations
−Key Properties
−| Antibody Type | Primary Antibody |
|---|---|
| Host | Rabbit |
| Clonality | Polyclonal |
| Isotype | IgG |
| Immunogen | KLH conjugated synthetic peptide derived from human Neuronal thread protein AD7c-NTP (301-375/375aa) |
| Target | AF010144.1 |
| Molecular Weight | 41 kDa |
| Purification | Affinity purified by Protein A |
| Conjugation | Unconjugated |
Storage & Handling
−| Storage | Maintain refrigerated at 2-8°C for up to 2 weeks. For long term storage store at -20°C in small aliquots to prevent freeze-thaw cycles. |
|---|---|
| Form/Appearance | Liquid |
| Buffer/Preservatives | 0.01M TBS (pH7.4) with 1% rAlbumin, 0.02% Proclin300 and 50% Glycerol. |
| Concentration | 1mg/ml |
| Expiration Date | 12 months from date of receipt. |
| Disclaimer | For research use only |
Alternative Names
−Similar Products
−AD7c-NTP Rabbit Polyclonal Antibody [orb499694]
FC, WB
Human
Rabbit
Polyclonal
Unconjugated
50 μl, 100 μl, 200 μlNeuronal thread protein AD7c-NTP Rabbit Polyclonal Antibody (Biotin) [orb448335]
FC, IF, IHC-Fr, IHC-P, WB
Human, Mouse, Rat
Rabbit
Polyclonal
Biotin
100 μlNeuronal thread protein AD7c-NTP Rabbit Polyclonal Antibody (PE) [orb486010]
FC, IF
Human, Mouse, Rat
Rabbit
Polyclonal
PE
100 μlNeuronal thread protein AD7c-NTP Rabbit Polyclonal Antibody (HRP) [orb470117]
IHC-Fr, IHC-P, WB
Human, Mouse, Rat
Rabbit
Polyclonal
HRP
100 μl

Quality Guarantee
Explore bioreagents carefree to elevate your research. All our products are rigorously tested for performance. If a product does not perform as described on its datasheet, our scientific support team will provide expert troubleshooting, a prompt replacement, or a refund. For full details, please see our Terms & Conditions and Buying Guide. Contact us at [email protected].

Blank control: SHSY5Y. Primary Antibody (green line): Rabbit Anti-Neuronal thread protein AD7c-NTP antibody (orb10039), Dilution: 1 ug/Test, Secondary Antibody: Goat anti-rabbit IgG-FITC, Dilution: 0.5 ug/Test. Protocol, The cells were fixed with 4% PFA (10 min at room temperature) and then permeabilized with 90% ice-cold methanol for 20 min at -20℃. The cells were then incubated in 5% BSA to block non-specific protein-protein interactions for 30 min at room temperature. Cells stained with Primary Antibody for 30 min at room temperature. The secondary antibody used for 40 min at room temperature. Acquisition of 20000 events was performed.

Paraformaldehyde-fixed, paraffin embedded (rat cerebellum), Antigen retrieval by boiling in sodium citrate buffer (pH6.0) for 15 min, Block endogenous peroxidase by 3% hydrogen peroxide for 20 minutes, Blocking buffer (normal goat serum) at 37°C for 30 min, Antibody incubation with (Neuronal thread protein AD7c-NTP) Polyclonal Antibody, Unconjugated (orb10039) at 1:200 overnight at 4°C, followed by operating according to SP Kit (Rabbit) instructionsand DAB staining.

Sample: Brain (Mouse) Lysate at 40 ug, Primary: Anti-AD7c-NTP (orb10039) at 1/300 dilution, Secondary: HRP conjugated Goat-Anti-rabbit IgG (orb572747) at 1/5000 dilution, Predicted band size: 41 kD, Observed band size: 41 kD.

Sample: Lane 1: Mouse Cerebrum tissue lysates, Lane 2: Rat Cerebellum tissue lysates, Primary: Anti-Neuronal thread protein AD7c-NTP (orb10039) at 1/1000 dilution, Secondary: IRDye800CW Goat Anti-Rabbit IgG at 1/20000 dilution, Predicted band size: 41 kDa, Observed band size: 43 kDa.

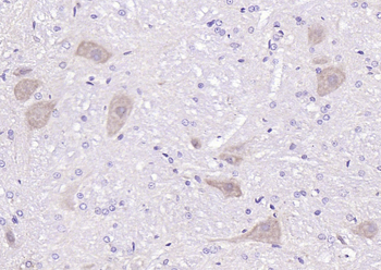
Tissue/cell: Mouse brain tissue, 4% Paraformaldehyde-fixed and paraffin-embedded, Antigen retrieval: citrate buffer (0.01M, pH 6.0), Boiling bathing for 15 min, Block endogenous peroxidase by 3% Hydrogen peroxide for 30 min, Blocking buffer (normal goat serum) at 37℃ for 20 min, Incubation: Anti-AD7c-NTP Polyclonal Antibody, Unconjugated (orb10039) 1:200, overnight at 4°C, followed by conjugation to the secondary antibody and DAB staining.
Quick Database Links
Documents Download
Request a Document
Protocol Information
Neuronal thread protein AD7c-NTP Rabbit Polyclonal Antibody (orb10039)
Participating in our Biorbyt product reviews program enables you to support fellow scientists by sharing your firsthand experience with our products.
Login to Submit a Review

