You have no items in your shopping cart.
Description
Research Area
Images & Validation
−| Tested Applications | IHC-P |
|---|---|
| Dilution Range | The prediluted format is supplied in a dropper bottle and is optimized for use in IHC. After epitope retrieval step (if required), drip mAb solution onto the tissue section and incubate at RT for 30 min. |
| Reactivity | Human |
| Application Notes |
Key Properties
−| Antibody Type | Primary Antibody |
|---|---|
| Host | Mouse |
| Clonality | Monoclonal |
| Isotype | Mouse IgG1, kappa |
| Clone No. | SPM299 |
| Immunogen | NGFR from A875 melanoma cells was used as the immunogen for the NGF Receptor antibody. Its epitope is within amino acids 1-160 of the extracellular domain of NGFR/NTR. |
| Purification | Protein G affinity chromatography |
| Conjugation | Unconjugated |
Storage & Handling
−| Storage | Maintain refrigerated at 2-8°C for up to 2 weeks. For long term storage store at -20°C in small aliquots to prevent freeze-thaw cycles. |
|---|---|
| Buffer/Preservatives | Prediluted in 1X PBS, 0.1 mg/ml rAlbumin, 0.05% sodium azide; For IHC use only |
| Expiration Date | 12 months from date of receipt. |
| Disclaimer | For research use only |
Similar Products
−NGFR/p75NTR Rabbit Polyclonal Antibody [orb11125]
FC
Bovine, Canine, Equine, Guinea pig, Human, Porcine, Rat
Mouse
Rabbit
Polyclonal
Unconjugated
50 μl, 100 μl, 200 μlNGFR/p75NTR Rabbit Polyclonal Antibody [orb157981]
FC, IF, IHC-Fr, IHC-P, WB
Canine
Human, Mouse, Rat
Rabbit
Polyclonal
Unconjugated
100 μl, 200 μl, 50 μlNGFR/p75NTR Recombinant Rabbit Monoclonal Antibody [orb1816952]
ICC, IF, IHC-Fr, IHC-P
Rat
Human, Mouse, Rat
Rabbit
Recombinant
Unconjugated
25 μl, 100 μl, 50 μlNGFR p75 rabbit pAb Antibody [orb765835]
ELISA, IF, WB
Human, Mouse, Rat
Polyclonal
Unconjugated
NGFR Antibody [orb1410062]
IF, IHC, WB
Human
Mouse
Monoclonal
Unconjugated
20 μg, 100 μg, 100 μg (without BSA and Azide)

Quality Guarantee
Explore bioreagents carefree to elevate your research. All our products are rigorously tested for performance. If a product does not perform as described on its datasheet, our scientific support team will provide expert troubleshooting, a prompt replacement, or a refund. For full details, please see our Terms & Conditions and Buying Guide. Contact us at [email protected].

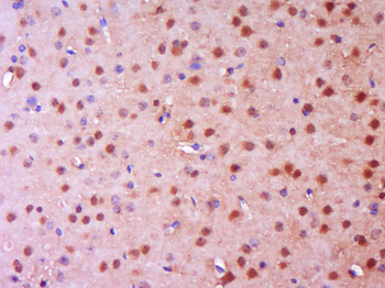
IHC analysis of formalin-fixed, paraffin-embedded human adrenal gland stained with NGF Receptor antibody (clone SPM299).

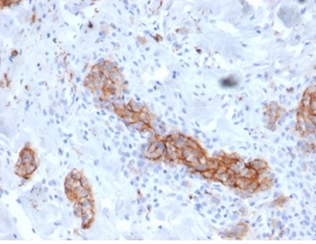
IHC analysis of formalin-fixed, paraffin-embedded human melanoma stained with NGF Receptor antibody (clone SPM299).

SDS-PAGE analysis of purified, BSA-free NGF Receptor antibody (clone SPM299) as confirmation of integrity and purity.
Quick Database Links
UniProt Details
−Documents Download
Request a Document
NGF Receptor Antibody (orb2639014)
Participating in our Biorbyt product reviews program enables you to support fellow scientists by sharing your firsthand experience with our products.
Login to Submit a Review



















