You have no items in your shopping cart.
Description
Research Area
Images & Validation
−| Tested Applications | ELISA, WB |
|---|---|
| Dilution Range | WB: 1:500-1:2000 |
| Reactivity | Human, Mouse, Rat |
Key Properties
−| Antibody Type | Primary Antibody |
|---|---|
| Host | Rabbit |
| Clonality | Polyclonal |
| Isotype | IgG |
| Immunogen | neuro-oncological ventral antigen 2 |
| Target | NOVA2 |
| Molecular Weight | 60-65 kDa |
| Purity | ≥95% as determined by SDS-PAGE |
| Purification | Immunogen affinity purified |
| Conjugation | Unconjugated |
Storage & Handling
−| Storage | Maintain refrigerated at 2-8°C for up to 2 weeks. For long term storage store at -20°C in small aliquots to prevent freeze-thaw cycles. |
|---|---|
| Form/Appearance | liquid |
| Expiration Date | 12 months from date of receipt. |
| Disclaimer | For research use only |
Alternative Names
−Similar Products
−NOVA2 Rabbit Polyclonal Antibody [orb654356]
ELISA, FC, IHC, WB
Human, Mouse, Rat
Rabbit
Polyclonal
Unconjugated
100 μgNOVA2 Rabbit Polyclonal Antibody [orb577564]
WB
Bovine, Canine, Guinea pig, Mouse, Porcine, Rabbit, Rat, Zebrafish
Human
Rabbit
Polyclonal
Unconjugated
100 μlNova2 Rabbit Polyclonal Antibody [orb158017]
FC
Canine, Gallus, Human, Mouse, Rabbit
Rat
Rabbit
Polyclonal
Unconjugated
50 μl, 100 μl, 200 μlNOVA2 Rabbit Polyclonal Antibody [orb577565]
WB
Bovine, Canine, Equine, Guinea pig, Mouse, Porcine, Rabbit, Rat, Zebrafish
Human
Rabbit
Polyclonal
Unconjugated
100 μl

Quality Guarantee
Explore bioreagents carefree to elevate your research. All our products are rigorously tested for performance. If a product does not perform as described on its datasheet, our scientific support team will provide expert troubleshooting, a prompt replacement, or a refund. For full details, please see our Terms & Conditions and Buying Guide. Contact us at [email protected].

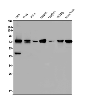
mouse brain tissue were subjected to SDS PAGE followed by western blot with orb629363 (NOVA2 antibody) at dilution of 1:500.
Quick Database Links
UniProt Details
−Documents Download
Request a Document
Protocol Information
NOVA2 Rabbit Polyclonal Antibody (orb629363)
Participating in our Biorbyt product reviews program enables you to support fellow scientists by sharing your firsthand experience with our products.
Login to Submit a Review










