You have no items in your shopping cart.
NQO2 Antibody
Description
Research Area
Images & Validation
−| Tested Applications | ELISA, IF, IHC, WB |
|---|---|
| Dilution Range | WB:1:500-5000, IHC-P:1:20-200, IF:1:50-200 |
| Reactivity | Human |
Key Properties
−| Host | Rabbit |
|---|---|
| Clonality | Polyclonal |
| Isotype | IgG |
| Immunogen | Recombinant Human Ribosyldihydronicotinamide dehydrogenase [quinone] protein (1-231aa) |
| Target | NQO2 |
| Purification | Antigen Affinity Purified |
| Conjugation | Unconjugated |
Storage & Handling
−| Storage | Maintain refrigerated at 2-8°C for up to 2 weeks. For long term storage store at -20°C in small aliquots to prevent freeze-thaw cycles. |
|---|---|
| Form/Appearance | Liquid |
| Buffer/Preservatives | Preservative: 0.03% Proclin 300. Constituents: 50% Glycerol |
| Expiration Date | 12 months from date of receipt. |
| Disclaimer | For research use only |
Alternative Names
−Similar Products
−NQO2 Antibody [orb629389]
ELISA, IF, IHC, IP, WB
Human, Mouse, Rat
Rabbit
Polyclonal
Unconjugated
50 μg, 100 μg

Quality Guarantee
Explore bioreagents carefree to elevate your research. All our products are rigorously tested for performance. If a product does not perform as described on its datasheet, our scientific support team will provide expert troubleshooting, a prompt replacement, or a refund. For full details, please see our Terms & Conditions and Buying Guide. Contact us at [email protected].

Western blot analysis of K562 whole cell lysate(lane 1), Mouse liver tissue(lane 2) using NQO2 antibody

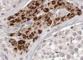
Immunohistochemical staining of human brain tissue using NQO2 antibody

Immunofluorescence analysis of Hela cells using NQO2 antibody

Immunoprecipitation analysis of K562 whole cell lysate using NQO2 antibody
Quick Database Links
UniProt Details
−Documents Download
Request a Document
Protocol Information
NQO2 Antibody (orb400516)
Participating in our Biorbyt product reviews program enables you to support fellow scientists by sharing your firsthand experience with our products.
Login to Submit a Review







