You have no items in your shopping cart.
NT5E Antibody
Description
Images & Validation
−| Tested Applications | FC, IHC, WB |
|---|---|
| Dilution Range | WB: 1/500 - 1/2000; IHC: 1/200 - 1/1000; FCM: 1/200 - 1/400; ELISA: 1/10000 |
| Reactivity | Human, Mouse, Rabbit, Rat |
Key Properties
−| Antibody Type | Primary Antibody |
|---|---|
| Host | Mouse |
| Clonality | Monoclonal |
| Isotype | Mouse IgG1 |
| Clone No. | 4G6E3 |
| Immunogen | Purified recombinant fragment of human NT5E (AA: 30-250) expressed in E. Coli. |
| Target | NT5E |
| Molecular Weight | 63.4kDa |
| Conjugation | Unconjugated |
Storage & Handling
−| Storage | Maintain refrigerated at 2-8°C for up to 2 weeks. For long term storage store at -20°C in small aliquots to prevent freeze-thaw cycles. |
|---|---|
| Buffer/Preservatives | Purified antibody in PBS with 0.05% sodium azide. |
| Concentration | Approximately 1mg/ml (varies from batch to batch). Please inquire for precise concentration. |
| Expiration Date | 12 months from date of receipt. |
| Disclaimer | For research use only |
Alternative Names
−Similar Products
−CD73 Mouse Monoclonal Antibody [orb783396]
FC, IF, IHC-Fr, IHC-P, WB
Human
Mouse
Monoclonal
Unconjugated
50 μl, 100 μlCD73 Rabbit Polyclonal Antibody [orb2931]
FC, WB
Bovine, Canine, Guinea pig, Porcine, Rabbit, Rat, Sheep
Human, Mouse
Rabbit
Polyclonal
Unconjugated
200 μl, 50 μl, 100 μl

Quality Guarantee
Explore bioreagents carefree to elevate your research. All our products are rigorously tested for performance. If a product does not perform as described on its datasheet, our scientific support team will provide expert troubleshooting, a prompt replacement, or a refund. For full details, please see our Terms & Conditions and Buying Guide. Contact us at [email protected].

Western blot analysis of A431 cell lysate using NT5E antibody

Line graph illustrates about the Ag-Ab reactions using different concentrations of antigen and serial dilutions of NT5E antibody

Flow cytometric analysis of A431 cells lysates using NT5E antibody

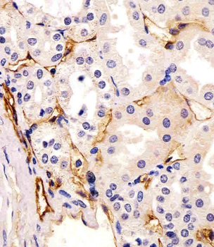
Immunohistochemical analysis of formalin-fixed and paraffin-embedded endometrial cancer tissues using NT5E antibody

Immunohistochemical analysis of formalin-fixed and paraffin-embedded esophageal cancer tissues using NT5E antibody

Western blot analysis of human NT5E using NT5E antibody

Western blot analysis of HEK293 (Lane 1) HEK293 (Lane 2) cell lysate using NT5E antibody
Documents Download
Request a Document
Protocol Information
NT5E Antibody (orb197830)
Participating in our Biorbyt product reviews program enables you to support fellow scientists by sharing your firsthand experience with our products.
Login to Submit a Review






























