You have no items in your shopping cart.
Pan Keratin Antibody
Description
Research Area
Images & Validation
−| Tested Applications | ELISA, IHC, WB |
|---|---|
| Dilution range | WB: 1:2000 - 1:10000; IHC: 1:500 - 1:3000 |
| Reactivity | Human |
Key Properties
−| Antibody Type | Primary Antibody |
|---|---|
| Host | Rabbit |
| Clonality | Polyclonal |
| Isotype | IgG |
| Immunogen | keratin 5 |
| Target | Pan Keratin |
| Molecular Weight | 46-58 kDa |
| Purity | ≥95% as determined by SDS-PAGE |
| Purification | Immunogen affinity purified |
| Conjugation | Unconjugated |
Storage & Handling
−| Storage | Maintain refrigerated at 2-8°C for up to 2 weeks. For long term storage store at -20°C in small aliquots to prevent freeze-thaw cycles. |
|---|---|
| Form/Appearance | liquid |
| Disclaimer | For research use only |
Alternative Names
−Similar Products
−Keratin-pan rabbit pAb Antibody [orb766934]
ELISA, IF, IHC, WB
Human, Mouse, Rat
Polyclonal
Unconjugated
100 μlCytokeratin-pan (Acetyl Lys194) rabbit pAb Antibody [orb763992]
ELISA, WB
Human, Mouse, Rat
Polyclonal
Unconjugated
50 μl, 100 μlKeratin-pan rabbit pAb Antibody [orb771505]
ELISA, IHC, WB
Human, Mouse, Rat
Polyclonal
Unconjugated
50 μl, 100 μlPan cytokeratin Antibody (Monoclonal, PCK-26) [orb18258]
IF, IHC, WB
Human, Mouse
Mouse
Monoclonal
Unconjugated
100 μg

Quality Guarantee
Explore bioreagents carefree to elevate your research. All our products are rigorously tested for performance. If a product does not perform as described on its datasheet, our scientific support team will provide expert troubleshooting, a prompt replacement, or a refund. For full details, please see our Terms & Conditions and Buying Guide. Contact us at [email protected].

A431 cells were subjected to SDS PAGE followed by western blot with orb633007 (Pan Keratin antibody) at dilution of 1:5000.

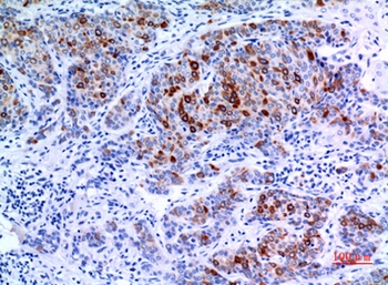
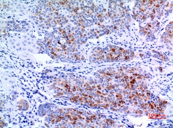
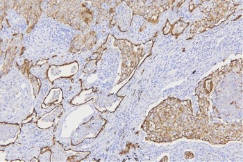
Immunohistochemistry of paraffin-embedded human liver cancer tissue slide using orb633007 (Pan Keratin antibody) at dilution of 1:1000.
Quick Database Links
UniProt Details
−Documents Download
Request a Document
Protocol Information
Pan Keratin Antibody (orb633007)
Participating in our Biorbyt product reviews program enables you to support fellow scientists by sharing your firsthand experience with our products.
Login to Submit a Review












