You have no items in your shopping cart.
Description
Research Area
Images & Validation
−| Tested Applications | ELISA, WB |
|---|---|
| Dilution Range | WB=1:500-2000, ELISA=1:5000-10000 |
| Reactivity | Human |
| Predicted Reactivity | Bovine, Canine, Gallus, Mouse, Porcine, Rabbit, Rat |
Key Properties
−| Antibody Type | Primary Antibody |
|---|---|
| Host | Rabbit |
| Clonality | Polyclonal |
| Isotype | IgG |
| Immunogen | KLH conjugated synthetic peptide derived from human PAR3. (1201-1356/1356aa) |
| Target | PARD3 |
| Molecular Weight | 149 kDa |
| Purification | Affinity purified by Protein A |
| Conjugation | Unconjugated |
Storage & Handling
−| Storage | Maintain refrigerated at 2-8°C for up to 2 weeks. For long term storage store at -20°C in small aliquots to prevent freeze-thaw cycles. |
|---|---|
| Form/Appearance | Liquid |
| Buffer/Preservatives | 0.01M TBS (pH7.4) with 1% rAlbumin, 0.02% Proclin300 and 50% Glycerol. |
| Concentration | 1mg/ml |
| Expiration Date | 12 months from date of receipt. |
| Disclaimer | For research use only |
Alternative Names
−Similar Products
−PARD3A rabbit pAb Antibody [orb766024]
ELISA, IF, IHC, WB
Human, Mouse, Rat
Polyclonal
Unconjugated
100 μl, 50 μlPARD3 Rabbit Polyclonal Antibody [orb629661]
ELISA, FC, IHC, IP, WB
Human, Mouse, Rat
Rabbit
Polyclonal
Unconjugated
50 μg, 100 μgPARD3 Rabbit Polyclonal Antibody [orb215227]
IF, IHC, WB
Gallus, Human, Mouse, Rat
Rabbit
Polyclonal
Unconjugated
30 μl, 100 μl, 200 μl, 50 μlPAR-3 rabbit pAb Antibody [orb768062]
ELISA, IF
Human, Mouse, Rat
Polyclonal
Unconjugated
50 μl, 100 μlPAR3 Rabbit Polyclonal Antibody [orb1880689]
IHC, WB
Human
Rabbit
Polyclonal
Unconjugated
200 μl, 100 μl, 50 μl, 30 μl

Quality Guarantee
Explore bioreagents carefree to elevate your research. All our products are rigorously tested for performance. If a product does not perform as described on its datasheet, our scientific support team will provide expert troubleshooting, a prompt replacement, or a refund. For full details, please see our Terms & Conditions and Buying Guide. Contact us at [email protected].

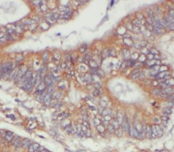
Immunohistochemical analysis of formalin-fixed and paraffin embedded human cervical cancer tissue (Dilution at:1:200) using PAR3 antibody
Quick Database Links
UniProt Details
−Documents Download
Request a Document
Protocol Information
PAR3 Rabbit Polyclonal Antibody (orb100287)
Participating in our Biorbyt product reviews program enables you to support fellow scientists by sharing your firsthand experience with our products.
Login to Submit a Review












