You have no items in your shopping cart.
PEX2 Antibody
Description
Research Area
Images & Validation
−| Tested Applications | ELISA, IHC, WB |
|---|---|
| Dilution range | WB: 1: 500-1: 3000, IHC-P: 1: 50-1: 100 |
| Reactivity | Human |
Key Properties
−| Host | Rabbit |
|---|---|
| Clonality | Polyclonal |
| Isotype | IgG |
| Immunogen | Synthesized peptide derived from N-terminal of Human PXMP3. |
| Target | PEX2 |
| Purification | The antibody was affinity-purified from rabbit antiserum by affinity-chromatography using epitope-specific immunogen. |
| Conjugation | Unconjugated |
Storage & Handling
−| Storage | Maintain refrigerated at 2-8°C for up to 2 weeks. For long term storage store at -20°C in small aliquots to prevent freeze-thaw cycles. |
|---|---|
| Form/Appearance | liquid |
| Buffer/Preservatives | Rabbit IgG in phosphate buffered saline (without Mg2+ and Ca2+), pH 7.4, 150mM NaCl, 0.02% sodium azide and 50% glycerol. |
| Disclaimer | For research use only |
Alternative Names
−Similar Products
−Human Peroxisomal Biogenesis Factor 2 (PEX2) ELISA Kit [orb779136]
Human
0.16-10 ng/mL
0.058 ng/mL
96 T, 48 TPeroxin 2 rabbit pAb Antibody [orb766054]
ELISA, IF, IHC, WB
Human, Mouse, Rat
Polyclonal
Unconjugated
100 μl, 50 μlPEX5L Antibody [orb395423]
ELISA, IHC, WB
Human, Mouse, Rat
Rabbit
Polyclonal
Unconjugated
100 μg, 50 μgPEX2/PXMP3 Antibody [orb20555]
ELISA, WB
Bovine, Canine, Mouse, Rat
Human
Goat
Polyclonal
Unconjugated
100 μgPEX2 Antibody [orb319027]
IHC, WB
Human, Mouse, Rat
Rabbit
Polyclonal
Unconjugated
30 μl, 100 μl, 200 μl, 50 μl

Quality Guarantee
Explore bioreagents carefree to elevate your research. All our products are rigorously tested for performance. If a product does not perform as described on its datasheet, our scientific support team will provide expert troubleshooting, a prompt replacement, or a refund. For full details, please see our Terms & Conditions and Buying Guide. Contact us at [email protected].

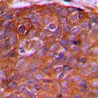
Immunohistochemical staining of human breast carcinoma tissue using PEX2 antibody

Western blot analysis of A549 cells using PEX2 antibody
Quick Database Links
UniProt Details
−Documents Download
Request a Document
Protocol Information
PEX2 Antibody (orb685222)
Participating in our Biorbyt product reviews program enables you to support fellow scientists by sharing your firsthand experience with our products.
Login to Submit a Review







