You have no items in your shopping cart.
PGK1 Antibody
Description
Research Area
Images & Validation
−| Tested Applications | ELISA, WB |
|---|---|
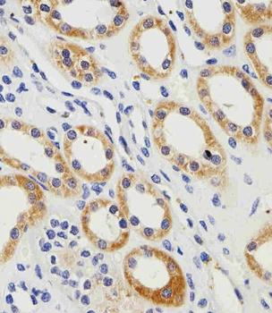
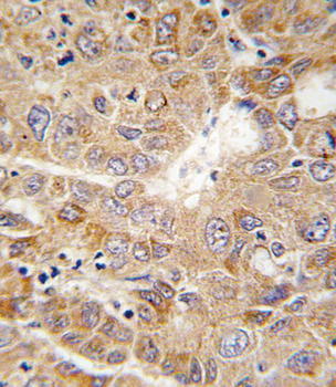
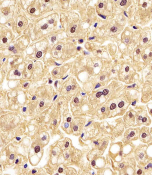
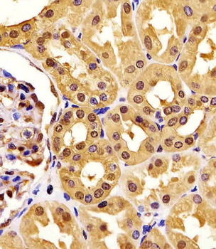
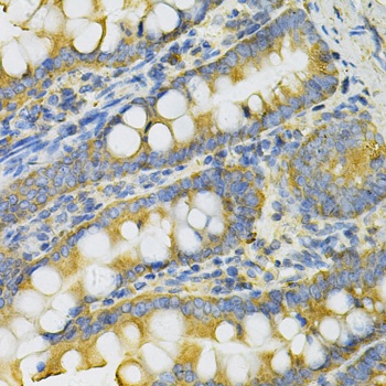
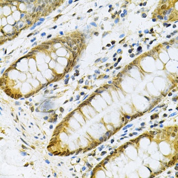
| Dilution Range | WB:1:500-5000, IHC-P:1:20-200, IP:1:200-2000 |
| Reactivity | Human |
Key Properties
−| Host | Rabbit |
|---|---|
| Clonality | Polyclonal |
| Isotype | IgG |
| Immunogen | Recombinant Human Phosphoglycerate kinase 1 protein (25-417AA) |
| Target | PGK1 |
| Purification | >95%, Protein G purified |
| Conjugation | Unconjugated |
Storage & Handling
−| Storage | Maintain refrigerated at 2-8°C for up to 2 weeks. For long term storage store at -20°C in small aliquots to prevent freeze-thaw cycles. |
|---|---|
| Form/Appearance | Liquid |
| Buffer/Preservatives | Preservative: 0.03% Proclin 300. Constituents: 50% Glycerol |
| Expiration Date | 12 months from date of receipt. |
| Disclaimer | For research use only |
Alternative Names
−Similar Products
−PGK1 Antibody (Center) [orb1929564]
FC, IF, IHC-P, WB
Monkey
Human, Mouse, Rat
Rabbit
Polyclonal
Unconjugated
100 μl, 50 μlHuman Phosphoglycerate Kinase 1 (PGK1) ELISA Kit [orb776867]
Human
31.25-2000 pg/mL
12.4 pg/mL
96 T, 48 TPGK1 Rabbit Polyclonal Antibody [orb580297]
WB
Bovine, Canine, Equine, Guinea pig, Rabbit, Rat, Sheep, Yeast, Zebrafish
Human, Mouse
Rabbit
Polyclonal
Unconjugated
100 μl

Quality Guarantee
Explore bioreagents carefree to elevate your research. All our products are rigorously tested for performance. If a product does not perform as described on its datasheet, our scientific support team will provide expert troubleshooting, a prompt replacement, or a refund. For full details, please see our Terms & Conditions and Buying Guide. Contact us at [email protected].

Western blot analysis of EC109(Lane 1), 293T(Lane 2) whole cell lysate using Phosphoglycerate kinase 1 antibody
Quick Database Links
UniProt Details
−Documents Download
Request a Document
Protocol Information
PGK1 Antibody (orb240089)
Participating in our Biorbyt product reviews program enables you to support fellow scientists by sharing your firsthand experience with our products.
Login to Submit a Review

















