You have no items in your shopping cart.
Phospho-CREB(S133) Antibody
Description
Images & Validation
−| Tested Applications | IF, IHC-P, WB |
|---|---|
| Dilution range | WB - 1:1000, IHC-P - 1:100-500 |
| Reactivity | Human |
Key Properties
−| Host | Rabbit |
|---|---|
| Clonality | Polyclonal |
| Isotype | Rabbit IgG |
| Molecular Weight | 35136 Da |
| Conjugation | Unconjugated |
Storage & Handling
−| Storage | Maintain refrigerated at 2-8°C for up to 2 weeks. For long term storage store at -20°C in small aliquots to prevent freeze-thaw cycles |
|---|---|
| Form/Appearance | Purified polyclonal antibody supplied in PBS with 0.09% (W/V) sodium azide. This antibody is purified through a protein A column, followed by peptide affinity purification. |
| Disclaimer | For research use only |
Similar Products
−Phospho-Creb (S133) CREB1 Rabbit Monoclonal Antibody [orb548609]
FC, ICC, IF, IHC, IP, WB
Human, Mouse, Rat
Rabbit
Monoclonal
Unconjugated
Phospho-CREB (Ser133) Antibody [orb1730699]
FC, IF, IHC, IP, WB
Human, Mouse, Rat
Rabbit
Polyclonal
Unconjugated

Quality Guarantee
Explore bioreagents carefree to elevate your research. All our products are rigorously tested for performance. If a product does not perform as described on its datasheet, our scientific support team will provide expert troubleshooting, a prompt replacement, or a refund. For full details, please see our Terms & Conditions and Buying Guide. Contact us at [email protected].

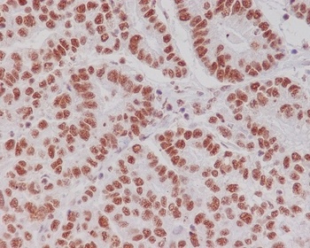
Immunohistochemical analysis of paraffin-embedded Human hepatocarcinoma tissue was performed on the Leica BOND RXm. Tissue was fixed with formaldehyde at room temperature, antigen retrieval was by heat mediation with a EDTA buffer (pH9.0). Samples were incubated with primary antibody (1:500) for 1 hours at room temperature. A undiluted biotinylated CRF Anti-Polyvalent HRP Polymer antibody was used as the secondary antibody.

Immunohistochemical analysis of paraffin-embedded Human colon carcinoma tissue was performed on the Leica BOND RXm. Tissue was fixed with formaldehyde at room temperature, antigen retrieval was by heat mediation with a EDTA buffer (pH9.0). Samples were incubated with primary antibody (1:500) for 1 hours at room temperature. A undiluted biotinylated CRF Anti-Polyvalent HRP Polymer antibody was used as the secondary antibody.

Western blot analysis of lysates from Hela cell line, untreated or treated with TPA, 200nM, using Phospho-CREB (S133) Antibody (upper) or tubulin (lower).

Western blot analysis of lysates from Hela cell line, untreated or treated with TPA, 200nM, using Phospho-CREB (S133) Antibody (upper) or tubulin (lower).

Western blot analysis of lysates from Hela cell line, untreated or treated with 20% FBS + 100nM Calyculin A, using Phospho-CREB (S133) Antibody (upper) or tubulin (lower).
Quick Database Links
UniProt Details
−Documents Download
Request a Document
Protocol Information
Phospho-CREB(S133) Antibody (orb1931276)
Participating in our Biorbyt product reviews program enables you to support fellow scientists by sharing your firsthand experience with our products.
Login to Submit a Review

