You have no items in your shopping cart.
Phospho-p70 S6 Kinase Beta (Thr444 + Ser447) Rabbit Polyclonal Antibody
Description
Research Area
Images & Validation
−| Tested Applications | FC, IF, IHC-Fr, IHC-P |
|---|---|
| Dilution Range | IHC-P=1:100-500, IHC-F=1:100-500, IF=1:100-500, Flow-Cyt=1ug/Test |
| Reactivity | Human, Rat |
| Predicted Reactivity | Bovine, Canine, Equine, Gallus, Mouse, Porcine, Rabbit |
Related Conjugates & Formulations
−Key Properties
−| Antibody Type | Primary Antibody |
|---|---|
| Host | Rabbit |
| Clonality | Polyclonal |
| Isotype | IgG |
| Immunogen | KLH conjugated Synthesised phosphopeptide derived from human RPS6KB2 around the phosphorylation site of Thr444/Ser447 PR(P-T)PV(p-S)PV |
| Target | RPS6KB2 |
| Molecular Weight | 60 kDa |
| Purification | Affinity purified by Protein A |
| Conjugation | Unconjugated |
Storage & Handling
−| Storage | Maintain refrigerated at 2-8°C for up to 2 weeks. For long term storage store at -20°C in small aliquots to prevent freeze-thaw cycles. |
|---|---|
| Form/Appearance | Liquid |
| Buffer/Preservatives | 0.01M TBS (pH7.4) with 1% rAlbumin, 0.02% Proclin300 and 50% Glycerol. |
| Concentration | 1mg/ml |
| Expiration Date | 12 months from date of receipt. |
| Disclaimer | For research use only |
Alternative Names
−Similar Products
−Phospho-p70 S6 Kinase Beta (Thr444 + Ser447) Rabbit Polyclonal Antibody (Biotin) [orb501325]
FC, IF, IHC-Fr, IHC-P
Bovine, Canine, Equine, Gallus, Mouse, Porcine, Rabbit
Human, Rat
Rabbit
Polyclonal
Biotin
100 μlPhospho-p70 S6 Kinase Beta (Thr444 + Ser447) Rabbit Polyclonal Antibody (PE) [orb504821]
FC, IF
Bovine, Canine, Equine, Gallus, Mouse, Porcine, Rabbit
Human, Rat
Rabbit
Polyclonal
PE
100 μlPhospho-p70 S6 Kinase Beta (Thr444 + Ser447) Rabbit Polyclonal Antibody (Cy5) [orb899389]
FC, IF
Bovine, Canine, Equine, Gallus, Mouse, Porcine, Rabbit
Human, Rat
Rabbit
Polyclonal
Cy5
100 μlPhospho-p70 S6 Kinase Beta (Thr444 + Ser447) Rabbit Polyclonal Antibody (PE-Cy7) [orb901220]
FC, IF
Bovine, Canine, Equine, Gallus, Mouse, Porcine, Rabbit
Human, Rat
Rabbit
Polyclonal
PE/Cy7
100 μlPhospho-p70 S6 Kinase Beta (Thr444 + Ser447) Rabbit Polyclonal Antibody (PE-Cy5) [orb885688]
FC, IF
Bovine, Canine, Equine, Gallus, Mouse, Porcine, Rabbit
Human, Rat
Rabbit
Polyclonal
PE/Cy5
100 μl

Quality Guarantee
Explore bioreagents carefree to elevate your research. All our products are rigorously tested for performance. If a product does not perform as described on its datasheet, our scientific support team will provide expert troubleshooting, a prompt replacement, or a refund. For full details, please see our Terms & Conditions and Buying Guide. Contact us at [email protected].

Blank control (black line): Hela. Primary Antibody (green line): Rabbit Anti-Phospho-p70 S6 Kinase Beta (Thr444 + Ser447) antibody (orb6619), dilution: 1 ug/Test, Secondary Antibody (white blue line): Goat anti-rabbit IgG-AF488, dilution: 0.5 ug/Test. Isotype control (orange line): Normal Rabbit IgG, Protocol, The cells were fixed with 4% PFA (10 min at room temperature) and then permeabilized with 90% ice-cold methanol for 20 min at -20°C, The cells were then incubated in 5% BSA to block non-specific protein-protein interactions for 30 min at room temperature. Cells stained with Primary Antibody for 30 min at room temperature. The secondary antibody used for 40 min at room temperature. Acquisition of 20000 events was performed.

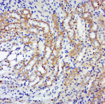
Tissue/Cell: Rat kidney tissue, 4% Paraformaldehyde-fixed and paraffin-embedded, Antigen retrieval: citrate buffer (0.01M, pH6.0), Boiling bathing for 15 min, Block endogenous peroxidase by 3% Hydrogen peroxide for 30 min, Blocking buffer (normal goat serum) at 37°C for 20 min, Incubation: Anti-Phospho-p70 S6 Kinase Beta (Thr444 + Ser447) Polyclonal Antibody, Unconjugated (orb6619) 1:400, overnight at 4°C, followed by conjugation to the secondary antibody and DAB staining.
Quick Database Links
UniProt Details
−Documents Download
Request a Document
Protocol Information
Phospho-p70 S6 Kinase Beta (Thr444 + Ser447) Rabbit Polyclonal Antibody (orb6619)
Participating in our Biorbyt product reviews program enables you to support fellow scientists by sharing your firsthand experience with our products.
Login to Submit a Review