You have no items in your shopping cart.
PI 3-kinase p85α rabbit pAb Antibody
Description
Images & Validation
−| Tested Applications | ELISA, IF, IHC, WB |
|---|---|
| Dilution Range | Immunohistochemistry: 1/100 - 1/300. Immunofluorescence: 1/200 - 1/1000. ELISA: 1/5000. Not yet tested in other applications. |
| Reactivity | Human, Mouse, Rat |
Key Properties
−| Clonality | Polyclonal |
|---|---|
| Isotype | IgG |
| Immunogen | The antiserum was produced against synthesized peptide derived from human PI3-kinase p85-alpha. AA range:573-622 |
| Molecular Weight | 85 |
| Purification | The antibody was affinity-purified from rabbit antiserum by affinity-chromatography using epitope-specific immunogen. |
| Conjugation | Unconjugated |
Storage & Handling
−| Storage | Maintain refrigerated at 2-8°C for up to 2 weeks. For long term storage store at -20°C in small aliquots to prevent freeze-thaw cycles. |
|---|---|
| Buffer/Preservatives | PBS with 0.02% sodium azide and 50% glycerol pH 7.4. |
| Concentration | 1 mg/ml |
| Expiration Date | 12 months from date of receipt. |
| Disclaimer | For research use only |
Alternative Names
−Similar Products
−PI 3-kinase p85α/γ rabbit pAb Antibody [orb766075]
ELISA, IF, IHC, WB
Gallus, Human, Monkey, Mouse, Rat
Polyclonal
Unconjugated
100 μlPI 3-kinase p85β rabbit pAb Antibody [orb766076]
ELISA, WB
Human, Mouse, Rat
Polyclonal
Unconjugated
100 μl, 50 μlPI 3-kinase p85β (phospho Tyr464) rabbit pAb Antibody [orb769467]
ELISA, WB
Human, Mouse, Rat
Polyclonal
Unconjugated
50 μl, 100 μlPI 3-kinase p85/p55 (phospho Tyr467/199) rabbit pAb Antibody [orb769466]
ELISA, IF, IHC, WB
Human, Monkey, Mouse, Porcine, Rat
Polyclonal
Unconjugated
50 μl, 100 μlPI 3-kinase p85α (phospho Tyr607) rabbit pAb Antibody [orb764369]
ELISA, IF, IHC, WB
Gallus, Human, Mouse, Rat
Polyclonal
Unconjugated
50 μl, 100 μl

Quality Guarantee
Explore bioreagents carefree to elevate your research. All our products are rigorously tested for performance. If a product does not perform as described on its datasheet, our scientific support team will provide expert troubleshooting, a prompt replacement, or a refund. For full details, please see our Terms & Conditions and Buying Guide. Contact us at [email protected].

Western Blot analysis of various cells using PI 3-kinase p85α Polyclonal Antibody diluted at 1:1000.

Immunohistochemical analysis of paraffin-embedded Human placenta. Antibody was diluted at 1:100 (4°C overnight). High-pressure and temperature Tris-EDTA, pH8.0 was used for antigen retrieval. Negetive control (right) obtaned from antibody was pre-absorbed by immunogen peptide.

Immunofluorescence analysis of HeLa cells, using PI3-kinase p85-alpha Antibody. The picture on the right is blocked with the synthesized peptide.

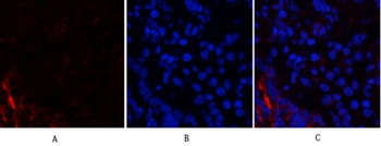
Immunohistochemistry analysis of paraffin-embedded human brain tissue, using PI3-kinase p85-alpha Antibody. The picture on the right is blocked with the synthesized peptide.
Documents Download
Request a Document
Protocol Information
PI 3-kinase p85α rabbit pAb Antibody (orb766074)
Participating in our Biorbyt product reviews program enables you to support fellow scientists by sharing your firsthand experience with our products.
Login to Submit a Review










