You have no items in your shopping cart.
PPP1CB Antibody
Description
Images & Validation
−| Tested Applications | FC, ICC, IHC, WB |
|---|---|
| Dilution Range | WB: 1/500 - 1/2000; IHC: 1/200 - 1/1000; IF/ICC: 1/200 - 1/1000; FCM: 1/200 - 1/400; ELISA: 1/10000 |
| Reactivity | Human |
Key Properties
−| Antibody Type | Primary Antibody |
|---|---|
| Host | Mouse |
| Clonality | Monoclonal |
| Isotype | Mouse IgG1 |
| Clone No. | 8A7C7 |
| Immunogen | Purified recombinant fragment of human PPP1CB (AA: 174-327) expressed in E. Coli. |
| Target | Disease |
| Molecular Weight | 37.2kDa |
| Conjugation | Unconjugated |
Storage & Handling
−| Storage | Maintain refrigerated at 2-8°C for up to 2 weeks. For long term storage store at -20°C in small aliquots to prevent freeze-thaw cycles. |
|---|---|
| Buffer/Preservatives | Purified antibody in PBS with 0.05% sodium azide. |
| Concentration | Approximately 1mg/ml (varies from batch to batch). Please inquire for precise concentration. |
| Expiration Date | 12 months from date of receipt. |
| Disclaimer | For research use only |
Alternative Names
−Similar Products
−PPP1CB Antibody [orb519386]
ELISA, IHC, WB
Human, Mouse, Rat
Rabbit
Polyclonal
Unconjugated
50 μl, 100 μlProtein Phosphatase 1 beta (PPP1CB) Antibody (C-term) [orb1928505]
IF, WB
Mouse, Other, Porcine, Rabbit, Rat
Human
Rabbit
Polyclonal
Unconjugated
400 μlPPP1CB Specific Rabbit Polyclonal Antibody [orb395469]
ELISA, IF, IHC, IP, WB
Human, Mouse, Rat
Rabbit
Polyclonal
Unconjugated
50 μg, 100 μgPP1 beta Rabbit Monoclonal Antibody [orb1474503]
IF, IHC, IP, WB
Human, Mouse, Rat
Rabbit
Monoclonal
Unconjugated
200 μl, 100 μl, 30 μl, 50 μl

Quality Guarantee
Explore bioreagents carefree to elevate your research. All our products are rigorously tested for performance. If a product does not perform as described on its datasheet, our scientific support team will provide expert troubleshooting, a prompt replacement, or a refund. For full details, please see our Terms & Conditions and Buying Guide. Contact us at [email protected].

Immunofluorescence analysis of MCF-7 cells using PPP1CB antibody

Immunohistochemical analysis of formalin-fixed and paraffin-embedded cervical cancer tissues using PPP1CB antibody

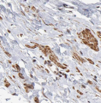
Immunohistochemical analysis of formalin-fixed and paraffin-embedded rectum cancer tissues using PPP1CB antibody

Western blot analysis of human recombinant protein using PPP1CB antibody

Western blot analysis of HEK293 using PPP1CB antibody

Western blot analysis of Jurkat (Lane1), A431 (Lane2), Hela (Lane3), HepG2 (Lane4), HEK293 (Lane5), MCF-7 (Lane6) cell lysate using PPP1CB antibody

ELISA Black line: Control Antigen (100 ng); Purple line: Antigen(10ng); Blue line: Antigen (50 ng); Red line: Antigen (100 ng)

Flow cytometric analysis of Jurkat cells using PPP1CB antibody
Documents Download
Request a Document
Protocol Information
PPP1CB Antibody (orb334035)
Participating in our Biorbyt product reviews program enables you to support fellow scientists by sharing your firsthand experience with our products.
Login to Submit a Review












