You have no items in your shopping cart.
PSMC3 Antibody
Description
Images & Validation
−| Tested Applications | FC, ICC, IHC, WB |
|---|---|
| Dilution range | WB: 1/500 - 1/2000; IHC: 1/200 - 1/1000; ICC: 1/200 - 1/1000; FCM: 1/200 - 1/400; ELISA: 1/10000 |
| Reactivity | Human, Monkey, Rat |
Key Properties
−| Antibody Type | Primary Antibody |
|---|---|
| Host | Mouse |
| Clonality | Monoclonal |
| Isotype | Mouse IgG1 |
| Clone No. | 1G10B7 |
| Immunogen | Purified recombinant fragment of human PSMC3 (AA: 53-152) expressed in E. Coli. |
| Target | PSMC3 |
| Molecular Weight | 49kDa |
| Conjugation | Unconjugated |
Storage & Handling
−| Storage | Maintain refrigerated at 2-8°C for up to 2 weeks. For long term storage store at -20°C in small aliquots to prevent freeze-thaw cycles. |
|---|---|
| Buffer/Preservatives | Purified antibody in PBS with 0.05% sodium azide |
| Concentration | Approximately 1mg/ml (varies from batch to batch). Please inquire for precise concentration. |
| Disclaimer | For research use only |
Alternative Names
−Similar Products
−TBP-1/PSMC3 Antibody [orb670321]
ELISA, FC, IHC, WB
Human, Mouse, Rat
Rabbit
Polyclonal
Unconjugated
100 μgTBP-1/PSMC3 Antibody (monoclonal, 4D3) [orb763201]
FC, ICC, IF, IHC, WB
Human, Mouse, Rat
Mouse
Monoclonal
Unconjugated
100 μgPSMC3 rabbit pAb Antibody [orb769740]
ELISA, IF, IHC, WB
Human, Mouse, Rat
Polyclonal
Unconjugated
100 μl, 50 μl

Quality Guarantee
Explore bioreagents carefree to elevate your research. All our products are rigorously tested for performance. If a product does not perform as described on its datasheet, our scientific support team will provide expert troubleshooting, a prompt replacement, or a refund. For full details, please see our Terms & Conditions and Buying Guide. Contact us at [email protected].

Line graph illustrates about the Ag-Ab reactions using different concentrations of antigen and serial dilutions of PSMC3 antibody

Flow cytometric analysis of Hela cells using PSMC3 antibody

Immunofluorescence analysis of MCF-7 cells using PSMC3 antibody

Immunohistochemical staining of human breast cancer tissue using PSMC3 antibody

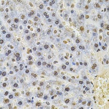
Immunohistochemical staining of human lung cancer tissue using PSMC3 antibody

Western blot analysis of COS7 (Lane 1), C6 (Lane 2), Hela (Lane 3), and A431 (Lane 4) cell lysate using PSMC3 antibody

Western blot analysis of HEK293 cell lysate using PSMC3 antibody

Western blot analysis of recombinant protein using PSMC3 antibody
Documents Download
Request a Document
Protocol Information
PSMC3 Antibody (orb379625)
Participating in our Biorbyt product reviews program enables you to support fellow scientists by sharing your firsthand experience with our products.
Login to Submit a Review


























