You have no items in your shopping cart.
PTPN11 Antibody
Description
Images & Validation
−| Tested Applications | FC, ICC, IHC |
|---|---|
| Dilution range | IHC: 1/200 - 1/1000; ICC: 1/200 - 1/1000; FCM: 1/200 - 1/400; ELISA: 1/10000 |
| Reactivity | Human |
Key Properties
−| Antibody Type | Primary Antibody |
|---|---|
| Host | Mouse |
| Clonality | Monoclonal |
| Isotype | Mouse IgG1 |
| Clone No. | 6D9F6 |
| Immunogen | Purified recombinant fragment of human PTPN11 (AA: 263-329) expressed in E. Coli. |
| Target | PTPN11 |
| Molecular Weight | 68.4kDa |
Storage & Handling
−| Storage | Maintain refrigerated at 2-8°C for up to 2 weeks. For long term storage store at -20°C in small aliquots to prevent freeze-thaw cycles. |
|---|---|
| Buffer/Preservatives | Purified antibody in PBS with 0.05% sodium azide |
| Concentration | Approximately 1mg/ml (varies from batch to batch). Please inquire for precise concentration. |
| Disclaimer | For research use only |
Alternative Names
−Similar Products
−SHP2/PTPN11 Antibody (monoclonal, 2E6) [orb527043]
FC, ICC, IF, IHC, WB
Human, Mouse, Rat
Mouse
Monoclonal
Unconjugated
100 μgSHP2/PTPN11 Antibody [orb18653]
ELISA, FC, IF, WB
Bovine, Mouse, Porcine, Rat
Human
Goat
Polyclonal
Unconjugated
100 μgPhospho-PTPN11 (Tyr580) Rabbit Polyclonal Antibody [orb6948]
FC, IF, IHC-Fr, IHC-P, WB
Equine, Gallus
Human, Mouse, Rat
Rabbit
Polyclonal
Unconjugated
50 μl, 100 μl, 200 μlSH-PTP2 rabbit pAb [orb766314]
ELISA, IHC-P, WB
Human, Mouse, Rat
Polyclonal
Unconjugated
50 μl, 100 μlSH-PTP2 rabbit pAb [orb766315]
ELISA, IHC-P, WB
Human, Mouse, Rat
Polyclonal
Unconjugated
100 μl, 50 μl

Quality Guarantee
Explore bioreagents carefree to elevate your research. All our products are rigorously tested for performance. If a product does not perform as described on its datasheet, our scientific support team will provide expert troubleshooting, a prompt replacement, or a refund. For full details, please see our Terms & Conditions and Buying Guide. Contact us at [email protected].

Line graph illustrates about the Ag-Ab reactions using different concentrations of antigen and serial dilutions of PTPN11 antibody

Flow cytometric analysis of HepG2 cells lysates using PTPN11 antibody

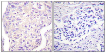
Immunohistochemical analysis of formalin-fixed and paraffin-embedded breast cancer tissues using PTPN11 antibody

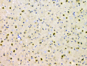
Immunohistochemical analysis of formalin-fixed and paraffin-embedded rectum cancer tissues using PTPN11 antibody

Western blot analysis of human PTPN11 using PTPN11 antibody
Documents Download
Request a Document
Protocol Information
PTPN11 Antibody (orb153371)
Participating in our Biorbyt product reviews program enables you to support fellow scientists by sharing your firsthand experience with our products.
Login to Submit a Review























