You have no items in your shopping cart.
Rabbit anti-BTF Antibody
Description
Images & Validation
−| Tested Applications | IHC, IP, WB |
|---|---|
| Dilution range | WB - 1:2,000 - 1:10,000; IP - 1 - 10 µg/mg lysate; IHC - 1:500 to 1:2,000. Epitope retrieval with citrate buffer pH6.0 is recommended for FFPE tissue sections. |
| Reactivity | Human, Mouse |
| Application Notes |
Key Properties
−| Antibody Type | Primary Antibody |
|---|---|
| Host | Rabbit |
| Clonality | Polyclonal |
| Immunogen | Between 175 and 225 |
| Target | BTF |
| Conjugation | Unconjugated |
Storage & Handling
−| Storage | 2 - 8°C |
|---|---|
| Form/Appearance | Whole IgG |
| Buffer/Preservatives | Tris-buffered Saline containing 0.1% rAlbumin and 0.09% Sodium Azide |
| Concentration | 200 µg/ml |
| Disclaimer | For research use only |
Alternative Names
−Similar Products
−
Quality Guarantee
Explore bioreagents carefree to elevate your research. All our products are rigorously tested for performance. If a product does not perform as described on its datasheet, our scientific support team will provide expert troubleshooting, a prompt replacement, or a refund. For full details, please see our Terms & Conditions and Buying Guide. Contact us at [email protected].

Detection of human BTF by western blot.Samples: Whole cell lysate from HEK293T, HeLa, A-549, MCF-7, and Jurkat cells. Antibody: Affinity purified rabbit anti-BTF antibody at 0.04 µg/ml.

Detection of mouse BTF by western blot.Samples: Whole cell lysate from NIH 3T3, CT26, CH27, TCMK-1, and BW5147.3 cells. Antibody: Affinity purified rabbit anti-BTF antibody at 0.04 µg/ml.

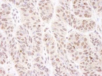
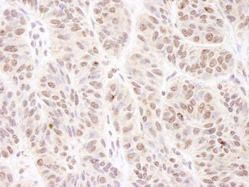
Detection of human BTF by immunohistochemistry. Sample: FFPE section of human ovarian carcinoma. Antibody: Affinity purified rabbit anti-BTF used at a dilution of 1:1, 000 (0.2µg/ml).

Detection of human BTF by western blot of immunoprecipitates.Samples: Whole cell lysate from HEK293T cells. Antibodies: Affinity purified rabbit anti-BTF antibody.
Quick Database Links
UniProt Details
−NCBI Reference Sequences
−| Protein | NP_055554.1 |
|---|
Documents Download
Request a Document
Protocol Information
Rabbit anti-BTF Antibody (orb1529918)
Participating in our Biorbyt product reviews program enables you to support fellow scientists by sharing your firsthand experience with our products.
Login to Submit a Review











