You have no items in your shopping cart.
Rabbit CCT5 Antibody
Description
Research Area
Images & Validation
−| Tested Applications | IHC, IP, WB |
|---|---|
| Dilution Range | WB - 1:2,000 - 1:10,000; IP - 2 - 10 µg/mg lysate; IHC - 1:100 - 1:500. Epitope retrieval with citrate buffer pH 6.0 is recommended for FFPE tissue sections. |
| Reactivity | Human, Mouse |
| Predicted Reactivity | Rat |
| Application Notes |
Key Properties
−| Antibody Type | Primary Antibody |
|---|---|
| Host | Rabbit |
| Clonality | Polyclonal |
| Isotype | IgG |
| Immunogen | Between 100 and 150 |
| Target | CCT5 |
| Purification | Antigen Affinity Purified |
| Conjugation | Unconjugated |
Storage & Handling
−| Storage | 2 - 8°C |
|---|---|
| Form/Appearance | Liquid |
| Buffer/Preservatives | Tris-buffered Saline containing 0.1% rAlbumin and 0.09% Sodium Azide |
| Concentration | 200 µg/ml |
| Expiration Date | 12 months from date of receipt. |
| Disclaimer | For research use only |
Alternative Names
−Similar Products
−TCP1 epsilon/CCT5 Rabbit Polyclonal Antibody [orb371662]
FC, ICC, IF, IHC, IP, WB
Human, Mouse, Rat
Rabbit
Polyclonal
Unconjugated
100 μgCCT5 Rabbit Polyclonal Antibody [orb582501]
IHC, WB
Bovine, Canine, Equine, Guinea pig, Rabbit, Rat, Yeast, Zebrafish
Human, Mouse
Rabbit
Polyclonal
Unconjugated
100 μlCCT5 Rabbit Polyclonal Antibody [orb625536]
ELISA, IF, IHC, IP, WB
Human, Mouse, Rat, Zebrafish
Rabbit
Polyclonal
Unconjugated
50 μg, 100 μgTCP-1 ε rabbit pAb Antibody [orb768153]
ELISA, WB
Human, Mouse, Rat
Polyclonal
Unconjugated
100 μl, 50 μl

Quality Guarantee
Explore bioreagents carefree to elevate your research. All our products are rigorously tested for performance. If a product does not perform as described on its datasheet, our scientific support team will provide expert troubleshooting, a prompt replacement, or a refund. For full details, please see our Terms & Conditions and Buying Guide. Contact us at [email protected].

Detection of human and mouse CCT5 by western blot (h and m) and immunoprecipitation (h). Samples: Whole cell lysate from HEK293T (15 and 50 µg for WB; 1 mg for IP, 20% of IP loaded) , Jurkat (J; 50 µg) , HeLa (H; 50 µg) and mouse NIH 3T3 (M; 50 µg) cells. Antibodies: Affinity purified rabbit anti-CCT5 antibody orb1524757 used for WB at 0.04 µg/ml (A) and 0.4 µg/ml (B) and used for IP at 6 µg/mg lysate. CCT5 was also immunoprecipitated by rabbit anti-CCT5 antibody, which recognizes a downstream epitope. Detection: Chemiluminescence with exposure times of 3 seconds (A) and 1 second (B).

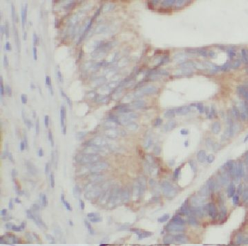
Detection of mouse CCT5 by immunohistochemistry.Sample: FFPE section of mouse teratoma. Antibody: Affinity purified rabbit anti-CCT5 (Cat. No. orb1524757) used at a dilution of 1: 200 (1µg/ml). Detection: DAB

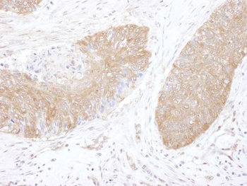
Detection of human CCT5 by immunohistochemistry.Sample: FFPE section of human prostate carcinoma. Antibody: Affinity purified rabbit anti-CCT5 (Cat. No. orb1524757) used at a dilution of 1: 200 (1µg/ml). Detection: DAB. Counterstain: hematoxylin (blue).
Quick Database Links
UniProt Details
−NCBI Reference Sequences
−| Protein | NP_036205.1 |
|---|
Documents Download
Request a Document
Protocol Information
Rabbit CCT5 Antibody (orb1524757)
Participating in our Biorbyt product reviews program enables you to support fellow scientists by sharing your firsthand experience with our products.
Login to Submit a Review















