You have no items in your shopping cart.
Rabbit FIP1 Antibody
Description
Images & Validation
−| Tested Applications | IHC, IP, WB |
|---|---|
| Dilution Range | WB - 1:2,000 - 1:10,000; IP - 2 - 5 µg/mg lysate; IHC - 1:1,000 - 1:5,000. Epitope retrieval with citrate buffer pH 6.0 is recommended for FFPE tissue sections. |
| Reactivity | Human |
| Application Notes |
Key Properties
−| Antibody Type | Primary Antibody |
|---|---|
| Host | Rabbit |
| Clonality | Polyclonal |
| Isotype | IgG |
| Immunogen | Between 544 and C-terminus |
| Target | FIP1 |
| Purification | Antigen Affinity Purified |
| Conjugation | Unconjugated |
Storage & Handling
−| Storage | 2 - 8°C |
|---|---|
| Form/Appearance | Liquid |
| Buffer/Preservatives | Tris-citrate/phosphate buffer, pH 7 to 8 containing 0.09% Sodium Azide |
| Concentration | 1000 µg/ml |
| Expiration Date | 12 months from date of receipt. |
| Disclaimer | For research use only |
Alternative Names
−Similar Products
−FIP1L1 Rabbit Polyclonal Antibody [orb1291743]
ELISA, FC, ICC, IF, IHC, WB
Human, Mouse, Rat
Rabbit
Polyclonal
Unconjugated
100 μgFIP1L1 Rabbit Polyclonal Antibody [orb577872]
IHC, WB
Bovine, Canine, Equine, Guinea pig, Mouse, Rabbit, Rat, Zebrafish
Human
Rabbit
Polyclonal
Unconjugated
100 μlRab11-FIP1 rabbit pAb Antibody [orb770488]
ELISA, IF, IHC
Human, Mouse
Polyclonal
Unconjugated
100 μl, 50 μlRRAGA + RRAGB Rabbit Polyclonal Antibody [orb185951]
IF, IHC-Fr, IHC-P
Canine, Equine, Human, Porcine, Sheep
Mouse, Rat
Rabbit
Polyclonal
Unconjugated
50 μl, 100 μl, 200 μl

Quality Guarantee
Explore bioreagents carefree to elevate your research. All our products are rigorously tested for performance. If a product does not perform as described on its datasheet, our scientific support team will provide expert troubleshooting, a prompt replacement, or a refund. For full details, please see our Terms & Conditions and Buying Guide. Contact us at [email protected].

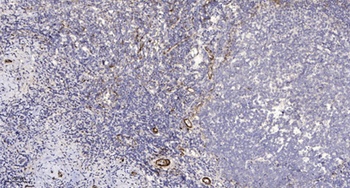
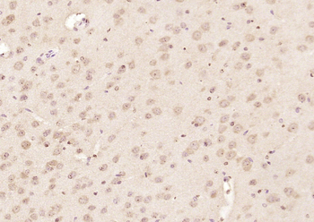
Detection of human FIP1 by immunohistochemistry. Sample: FFPE section of human breast carcinoma. Antibody: Affinity purified rabbit anti-FIP1 used at a dilution of 1:5, 000 (0.2µg/ml).

Detection of human FIP1 by WB and IP.Samples: HeLa and HEK293T cells. Antibodies: Affinity purified rabbit anti-FIP1 antibody orb1528352 used for WB at 0.1 µg/ml (A) and 1 µg/ml (B) and used for IP at 3 µg/mg lysate.
Quick Database Links
UniProt Details
−NCBI Reference Sequences
−| Protein | NP_112179.2 |
|---|
Documents Download
Request a Document
Protocol Information
Rabbit FIP1 Antibody (orb1528352)
Participating in our Biorbyt product reviews program enables you to support fellow scientists by sharing your firsthand experience with our products.
Login to Submit a Review
















