You have no items in your shopping cart.
Rabbit MED1 Antibody
Description
Research Area
Images & Validation
−| Tested Applications | IHC, IP, WB |
|---|---|
| Dilution Range | WB - 1:2,000 - 1:10,000; IP - 2 - 10 µg/mg lysate; IHC - 1:1,000 to 1:5,000. Epitope retrieval with citrate buffer pH6.0 is recommended for FFPE tissue sections. |
| Reactivity | Human, Mouse |
| Application Notes |
Key Properties
−| Antibody Type | Primary Antibody |
|---|---|
| Host | Rabbit |
| Clonality | Polyclonal |
| Isotype | IgG |
| Immunogen | Between 1531 and C-terminus |
| Target | MED1 |
| Purification | Antigen Affinity Purified |
| Conjugation | Unconjugated |
Storage & Handling
−| Storage | 2 - 8°C |
|---|---|
| Form/Appearance | Liquid |
| Buffer/Preservatives | Tris-citrate/phosphate buffer, pH 7 to 8 containing 0.09% Sodium Azide |
| Concentration | 1000 µg/ml |
| Expiration Date | 12 months from date of receipt. |
| Disclaimer | For research use only |
Alternative Names
−Similar Products
−MBD4/MED1 Rabbit Polyclonal Antibody [orb654341]
ELISA, FC, ICC, IF, IHC, WB
Human, Mouse, Rat
Rabbit
Polyclonal
Unconjugated
100 μgTRAP220 rabbit pAb Antibody [orb766515]
ELISA, IF, IHC, WB
Human, Mouse
Polyclonal
Unconjugated
100 μl, 50 μlTRAP220 (phospho Thr1457) rabbit pAb Antibody [orb769545]
ELISA, IF, IHC, WB
Human, Monkey, Mouse
Polyclonal
Unconjugated
100 μl, 50 μlTRAP220 rabbit pAb Antibody [orb766516]
ELISA, IF, WB
Human, Mouse
Polyclonal
Unconjugated
100 μl, 50 μlRabbit MED1 Recombinant Monoclonal Antibody [orb1519908]
FC, ICC, IHC, IP, WB
Human, Mouse
Rabbit
Recombinant
Unconjugated
100 μl, 20 μl

Quality Guarantee
Explore bioreagents carefree to elevate your research. All our products are rigorously tested for performance. If a product does not perform as described on its datasheet, our scientific support team will provide expert troubleshooting, a prompt replacement, or a refund. For full details, please see our Terms & Conditions and Buying Guide. Contact us at [email protected].

Detection of human MED1 by western blot.Samples: Whole cell lysate from HeLa, HEK293T, Jurkat, MCF-7, and Hep-G2 cells. Antibody: Affinity purified rabbit anti-MED1 antibody at 0.1 µg/ml.

Detection of mouse MED1 by western blot.Samples: Whole cell lysate from NIH 3T3, CT26, CH27, TCMK-1, and BW5147.3 cells. Antibody: Affinity purified rabbit anti-MED1 antibody at 0.1 µg/ml.

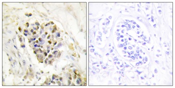
Detection of human MED1 by immunohistochemistry. Sample: FFPE section of human ovarian carcinoma. Antibody: Affinity purified rabbit anti-MED1 antibody used at 1:5000 (0.2µg/ml). Secondary:HRP-conjugated goat anti-rabbit IgG.

Detection of human MED1 by western blot of immunoprecipitates.Samples: Whole cell lysate from HEK293T cells. Antibodies: Affinity purified rabbit anti-MED1 antibody.
Quick Database Links
UniProt Details
−NCBI Reference Sequences
−| Protein | NP_004765.2 |
|---|
Documents Download
Request a Document
Protocol Information
Rabbit MED1 Antibody (orb1529627)
Participating in our Biorbyt product reviews program enables you to support fellow scientists by sharing your firsthand experience with our products.
Login to Submit a Review














