You have no items in your shopping cart.
Rabbit RCH1/KPNA2 Antibody
Description
Research Area
Images & Validation
−| Tested Applications | IHC, IP, WB |
|---|---|
| Dilution Range | WB - 1:10,000 - 1:25,000; IP - 2 - 10 µg/mg lysate; IHC - 1:1,000 to 1:5,000. Epitope retrieval with citrate buffer pH6.0 is recommended for FFPE tissue sections. |
| Reactivity | Human, Mouse |
| Application Notes |
Key Properties
−| Antibody Type | Primary Antibody |
|---|---|
| Host | Rabbit |
| Clonality | Polyclonal |
| Isotype | IgG |
| Immunogen | Between 479 and C-terminus |
| Target | RCH1/KPNA2 |
| Purification | Antigen Affinity Purified |
| Conjugation | Unconjugated |
Storage & Handling
−| Storage | 2 - 8°C |
|---|---|
| Form/Appearance | Liquid |
| Buffer/Preservatives | Tris-citrate/phosphate buffer, pH 7 to 8 containing 0.09% Sodium Azide |
| Concentration | 1000 µg/ml |
| Expiration Date | 12 months from date of receipt. |
| Disclaimer | For research use only |
Alternative Names
−Similar Products
−Rabbit RCH1/KPNA2 IHC Antibody [orb1518484]
IHC
Human, Mouse
Rabbit
Polyclonal
Unconjugated
100 μl, 10 μl

Quality Guarantee
Explore bioreagents carefree to elevate your research. All our products are rigorously tested for performance. If a product does not perform as described on its datasheet, our scientific support team will provide expert troubleshooting, a prompt replacement, or a refund. For full details, please see our Terms & Conditions and Buying Guide. Contact us at [email protected].

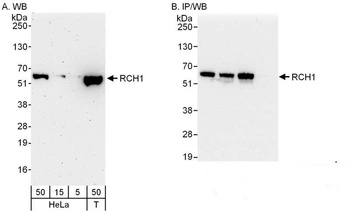
Detection of human RCH1/KPNA2 by western blot.Samples: Whole cell lysate from HEK293T, HeLa, and Jurkat cells. Antibody: Affinity purified rabbit anti-RCH1/KPNA2 antibody orb1530128 at 0.04 µg/ml.

Detection of mouse RCH1/KPNA2 by western blot.Samples: Whole cell lysate from TCMK-1 and NIH 3T3 cells. Antibody: Affinity purified rabbit anti-RCH1/KPNA2 antibody orb1530128 at 0.04 µg/ml.

Detection of mouse RCH1/KPNA2 by immunohistochemistry. Sample: FFPE section of mouse renal cell carcinoma. Antibody: Affinity purified rabbit anti-RCH1/KPNA2 used at 1:5, 000 (0.2µg/ml).

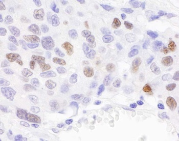
Detection of human RCH1/KPNA2 by immunohistochemistry. Sample: FFPE section of human colon carcinoma. Antibody: Affinity purified rabbit anti-RCH1/KPNA2 used at 1:5, 000 (0.2µg/ml).

Detection of human RCH1/KPNA2 by western blot of immunoprecipitates.Samples: Whole cell lysate from HEK293T cells. Antibodies: Affinity purified rabbit anti-RCH1/KPNA2 antibody.
Quick Database Links
UniProt Details
−NCBI Reference Sequences
−| Protein | NP_002257.1 |
|---|
Documents Download
Request a Document
Protocol Information
Rabbit RCH1/KPNA2 Antibody (orb1530128)
Participating in our Biorbyt product reviews program enables you to support fellow scientists by sharing your firsthand experience with our products.
Login to Submit a Review

