You have no items in your shopping cart.
Rad9 antibody
Description
Research Area
Images & Validation
−| Tested Applications | ICC, IHC-P, WB |
|---|---|
| Dilution Range | WB: 1:500-1:3000 , IF: 1:100-1:1000 , IHC-P: 1:100-1:1000 |
| Reactivity | Human, Mouse, Rat |
Key Properties
−| Antibody Type | Primary Antibody |
|---|---|
| Host | Rabbit |
| Clonality | Polyclonal |
| Isotype | IgG |
| Immunogen | Recombinant protein encompassing a sequence within the center region of human Rad9. The exact sequence is proprietary. |
| Target | Rad9 |
| Molecular Weight | 43 |
| Purity | Purified by antigen-affinity chromatography. |
| Purification | Purified by antigen-affinity chromatography. |
| Conjugation | Unconjugated |
Storage & Handling
−| Storage | Store as concentrated solution. Centrifuge briefly prior to opening vial. For short-term storage (1-2 weeks), store at 4°C. For long-term storage, aliquot and store at -20°lC or below. Avoid multiple freeze-thaw cycles. |
|---|---|
| Form/Appearance | Liquid: 1XPBS, 40% Glycerol (pH7). 0.01% Thimerosal was added as a preservative. |
| Buffer/Preservatives | 0.01% Thimerosal. 1XPBS (pH7), 1% rAlbumin, 20% Glycerol |
| Concentration | 1 mg/ml |
| Expiration Date | 12 months from date of receipt. |
| Disclaimer | For research use only |
Alternative Names
−Similar Products
−RAD9 Rabbit Polyclonal Antibody [orb4733]
IF, IHC-Fr, IHC-P, WB
Canine, Gallus, Human, Porcine, Rabbit
Mouse, Rat
Rabbit
Polyclonal
Unconjugated
200 μl, 50 μl, 100 μlRad9/Rad9a Rabbit Polyclonal Antibody [orb654461]
ELISA, FC, IHC, WB
Mouse, Rat
Rabbit
Polyclonal
Unconjugated
100 μgPhospho-RAD9 (Tyr28) Rabbit Polyclonal Antibody [orb4741]
IF, IHC-Fr, IHC-P, WB
Bovine, Equine, Human, Porcine, Rabbit
Mouse, Rat
Rabbit
Polyclonal
Unconjugated
50 μl, 100 μl, 200 μlRAD9 Antibody (BH3 Domain Specific) [orb1936863]
IHC-P, WB
Monkey
Human
Rabbit
Polyclonal
Unconjugated
100 μl, 50 μlPhospho-RAD9(S328) Antibody [orb1931236]
DOT, IHC-P, WB
Human
Rabbit
Polyclonal
Unconjugated
100 μl, 50 μl

Quality Guarantee
Explore bioreagents carefree to elevate your research. All our products are rigorously tested for performance. If a product does not perform as described on its datasheet, our scientific support team will provide expert troubleshooting, a prompt replacement, or a refund. For full details, please see our Terms & Conditions and Buying Guide. Contact us at [email protected].

Immunofluorescence analysis of HeLa cells using Rad9 antibody

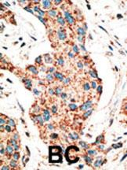
Immunohistochemical staining of HBL435 xenograft using Rad9 antibody

Western blot analysis of A431(Lane 1), Hela(Lane 2) using Rad9 antibody

Western blot analysis of A431(Lane 1), Hela(Lane 2) using Rad9 antibody

Western blot analysis of A431(Lane 1), Hela(Lane 2) using Rad9 antibody
Quick Database Links
UniProt Details
−Documents Download
Request a Document
Protocol Information
Rad9 antibody (orb555875)
Participating in our Biorbyt product reviews program enables you to support fellow scientists by sharing your firsthand experience with our products.
Login to Submit a Review



























